Promotional price valid on web orders only. Your contract pricing may differ. Interested in signing up for a dedicated account number?
Learn More
Learn More
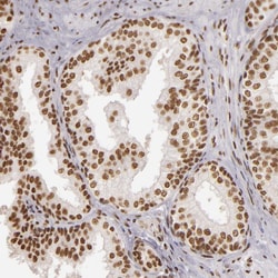
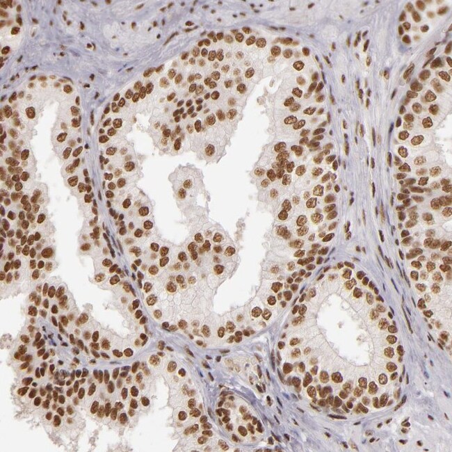
Invitrogen™ PAPOLA Polyclonal Antibody

Rabbit Polyclonal Antibody
Supplier: Invitrogen™ PA551634
Description
Immunogen sequence: EGVKLTALND SSLDLSMDSD NSMSVPSPTS ATKTSPLNSS GSSQGRNSPA PAVTAASVTN IQATEVSVPQ VNSSESSGGT SSESIPQTAT QPAISPPPKP TVSRVVSSTR LVNPPPRSSG NAATSGNAAT KIPTPIVGVK Highest antigen sequence identity to the following orthologs: Mouse - 88%, Rat - 88%.
Polymerase that creates the 3'-poly(A) tail of mRNA's. Also required for the endoribonucleolytic cleavage reaction at some polyadenylation sites. May acquire specificity through interaction with a cleavage and polyadenylation specificity factor (CPSF) at its C-terminus.
Specifications
| PAPOLA | |
| Polyclonal | |
| Unconjugated | |
| PAPOLA | |
| Pap; PAP-alpha; PapIII; PAPOLA; Plap; poly (A) polymerase alpha; poly(A) polymerase alpha; Polynucleotide adenylyltransferase; polynucleotide adenylyltransferase alpha | |
| Rabbit | |
| Antigen Affinity Chromatography | |
| RUO | |
| 10914 | |
| Store at 4°C short term. For long term storage, store at -20°C, avoiding freeze/thaw cycles. | |
| Liquid |
| Immunohistochemistry (Paraffin), Immunocytochemistry | |
| 0.05 mg/mL | |
| PBS with 40% glycerol and 0.02% sodium azide; pH 7.2 | |
| P51003 | |
| PAPOLA | |
| Recombinant protein corresponding to Human PAPOLA. Recombinant protein control fragment (Product #RP-88993). | |
| 100 μL | |
| Primary | |
| Human | |
| Antibody | |
| IgG |
Product Content Correction
Your input is important to us. Please complete this form to provide feedback related to the content on this product.
Product Title
Spot an opportunity for improvement?Share a Content Correction