Promotional price valid on web orders only. Your contract pricing may differ. Interested in signing up for a dedicated account number?
Learn More
Learn More
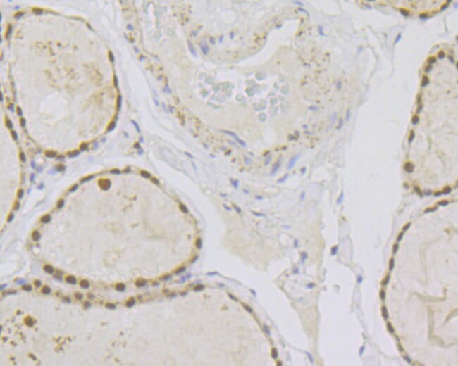
Invitrogen™ PAX8 Polyclonal Antibody

Rabbit Polyclonal Antibody
Supplier: Invitrogen™ PA5141113
Description
PAX8 Polyclonal Antibody for Western Blot, ICC/IF, IHC (P), Flow
This gene encodes a member of the paired box family of transcription factors. Members of this gene family typically encode proteins that contain a paired box domain, an octapeptide, and a paired-type homeodomain. This nuclear protein is involved in thyroid follicular cell development and expression of thyroid-specific genes. Mutations in this gene have been associated with thyroid dysgenesis, thyroid follicular carcinomas and atypical follicular thyroid adenomas. Alternatively spliced transcript variants encoding different isoforms have been described.
Specifications
| PAX8 | |
| Polyclonal | |
| Unconjugated | |
| PAX8 | |
| HGNC:8622; paired box 8; paired box gene 8; paired box protein Pax-8; paired domain gene 8; PAX8; Pax-8; Pax-8 protein | |
| Rabbit | |
| Antigen affinity chromatography | |
| RUO | |
| 7849 | |
| Store at 4°C short term. For long term storage, store at -20°C, avoiding freeze/thaw cycles. | |
| Liquid |
| Flow Cytometry, Immunohistochemistry (Paraffin), Western Blot, Immunocytochemistry | |
| 1 mg/mL | |
| PBS with 0.2% BSA, 50% glycerol and 0.05% sodium azide; pH 7.4 | |
| Q06710 | |
| PAX8 | |
| Recombinant protein within Human PAX8 aa 150-450. | |
| 100 μL | |
| Primary | |
| Human | |
| Antibody | |
| IgG |
Product Content Correction
Your input is important to us. Please complete this form to provide feedback related to the content on this product.
Product Title
Spot an opportunity for improvement?Share a Content Correction