Promotional price valid on web orders only. Your contract pricing may differ. Interested in signing up for a dedicated account number?
Learn More

PC4 Rabbit anti-Human, Mouse, Polyclonal, Bethyl Laboratories

Rabbit Polyclonal Antibody

Supplier:  Bethyl Laboratories, Inc A301162A

Encompass_Preferred

Catalog No. 50-155-9416


May include imposed supplier surcharges.
Only null left
Add to Cart

Description

Description

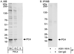
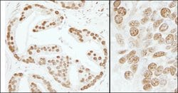
The recommended shelf life for this product is 1 year from date of receipt. Application Note: For IHC, epitope retrieval with citrate buffer pH 6.0 is recommended for FFPE tissue sections. Based on 100% sequence identity, this antibody is predicted to react with Rat, Chicken and Orangutan

PC4 (activated RNA polymerase II transcription cofactor 4) is a transcriptional coactivator, possessing the ability to suppress promoter-driven as well as nonspecific transcription via its DNA binding activity. The repressive activity of PC4 on promoter-driven transcription is alleviated by transcription factor TFIIH. TFIIH protects promoters from PC4-mediated repression by relieving the topological constraint imposed by PC4 through the ERCC3 helicase activity.
Specifications

Specifications

PC4
Polyclonal
Unconjugated
SUB1
PC4, TIS7
Rabbit
Antigen affinity chromatography
RUO
10923, 20024
4° C
Liquid
Immunohistochemistry, Western Blot
0.2 mg/ml
TBS with 0.1% BSA and 0.09% sodium azide
P11031, P53999
SUB1
Between 77 and 127
100 μL
Primary
Human, Mouse
Antibody
IgG
Product Suggestions

Product Suggestions

Videos
SDS
Documents

Documents

Product Certifications
Promotions

Promotions

Product Content Correction

The Fisher Scientific Encompass Program offers items which are not part of our distribution portfolio. These products typically do not have pictures or detailed descriptions. However, we are committed to improving your shopping experience. Please use the form below to provide feedback related to the content on this product.

Product Title

By clicking Submit, you acknowledge that you may be contacted by Fisher Scientific in regards to the feedback you have provided in this form. We will not share your information for any other purposes. All contact information provided shall also be maintained in accordance with our Privacy Policy.

Your feedback has been submitted: Thank you for helping us improve our website.