Promotional price valid on web orders only. Your contract pricing may differ. Interested in signing up for a dedicated account number?
Learn More
Learn More
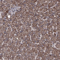
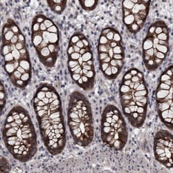
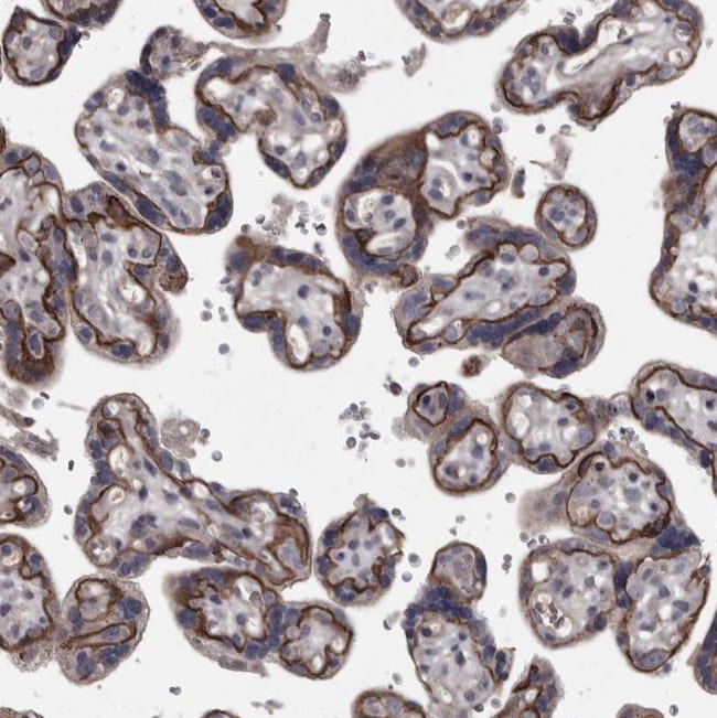
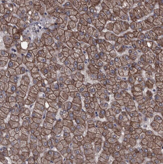
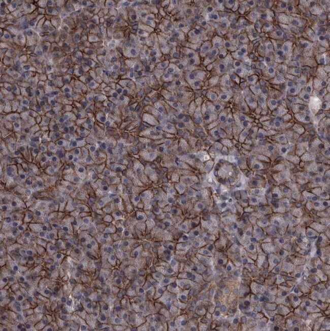
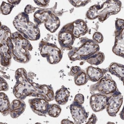
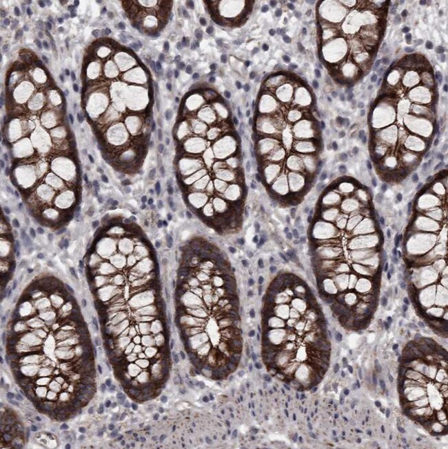
Invitrogen™ PCDH17 Polyclonal Antibody

Rabbit Polyclonal Antibody
Supplier: Invitrogen™ PA555428
Description
Immunogen sequence: VNDNAPVIVL PTLQNDTAEL QVPRNAGLGY LVSTVRALDS DFGESGRLTY EIVDGNDDHL FEIDPSSGEI RTLHPFWEDV TPVVELVVKV TDHGKPTLSA VAKLIIRSVS GSLPEGVPRV NGEQHHWD Highest antigen sequence identity to the following orthologs: Mouse - 100%, Rat - 100%.
This gene belongs to the protocadherin gene family, a subfamily of the cadherin superfamily. The encoded protein contains six extracellular cadherin domains, a transmembrane domain, and a cytoplasmic tail differing from those of the classical cadherins. The encoded protein may play a role in the establishment and function of specific cell-cell connections in the brain.
Specifications
PCDH17 | |
Polyclonal | |
Unconjugated | |
PCDH17 | |
C030033F14Rik; Gm78; PCDH17; PCDH68; PCH68; protocadherin 17; protocadherin 68; protocadherin-17; Protocadherin-68 | |
Rabbit | |
Antigen Affinity Chromatography | |
RUO | |
27253 | |
Store at 4°C short term. For long term storage, store at -20°C, avoiding freeze/thaw cycles. | |
Liquid |
Immunohistochemistry (Paraffin), Immunocytochemistry | |
0.1 mg/mL | |
PBS with 40% glycerol and 0.02% sodium azide; pH 7.2 | |
O14917 | |
PCDH17 | |
Recombinant protein corresponding to Human PCDH17. Recombinant protein control fragment (Product #RP-88657). | |
100 μL | |
Primary | |
Human | |
Antibody | |
IgG |
Safety and Handling
WARNING: Cancer - www.P65Warnings.ca.gov
Product Content Correction
Your input is important to us. Please complete this form to provide feedback related to the content on this product.
Product Title
Spot an opportunity for improvement?Share a Content Correction