Promotional price valid on web orders only. Your contract pricing may differ. Interested in signing up for a dedicated account number?
Learn More
Learn More
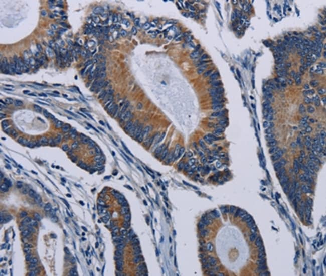
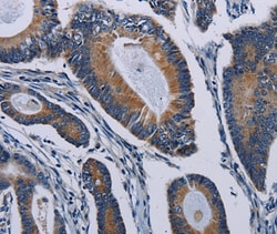
Invitrogen™ PCDHAC2 Polyclonal Antibody

Rabbit Polyclonal Antibody
Supplier: Invitrogen™ PA550724
Description
The antibody detects endogenous levels of total PCDHAC2 protein.
This gene is a member of the protocadherin alpha gene cluster, one of three related gene clusters tandemly linked on chromosome five that demonstrate an unusual genomic organization similar to that of B-cell and T-cell receptor gene clusters. The alpha gene cluster is composed of 15 cadherin superfamily genes related to the mouse CNR genes and consists of 13 highly similar and 2 more distantly related coding sequences. The tandem array of 15 N-terminal exons, or variable exons, are followed by downstream C-terminal exons, or constant exons, which are shared by all genes in the cluster. The large, uninterrupted N-terminal exons each encode six cadherin ectodomains while the C-terminal exons encode the cytoplasmic domain. These neural cadherin-like cell adhesion proteins are integral plasma membrane proteins that most likely play a critical role in the establishment and function of specific cell-cell connections in the brain. Alternative splicing has been observed and additional variants have been suggested but their full-length nature has yet to be determined.
Specifications
PCDHAC2 | |
Polyclonal | |
Unconjugated | |
PCDHAC2 | |
PCDHAC2; PCDH-ALPHA-C2; protocadherin alpha subfamily C, 2; protocadherin alpha-C2 | |
Rabbit | |
Antigen affinity chromatography | |
RUO | |
56134 | |
-20°C | |
Liquid |
Immunohistochemistry (Paraffin) | |
2.9 mg/mL | |
PBS with 40% glycerol and 0.05% sodium azide; pH 7.4 | |
Q9Y5I4 | |
PCDHAC2 | |
Synthetic peptide corresponding to a region derived from internal residues of human protocadherin alpha subfamily C, 2. | |
100 μL | |
Primary | |
Human | |
Antibody | |
IgG |
Product Content Correction
Your input is important to us. Please complete this form to provide feedback related to the content on this product.
Product Title
Spot an opportunity for improvement?Share a Content Correction