Learn More
Invitrogen™ PCID1 Polyclonal Antibody

Rabbit Polyclonal Antibody
Supplier: Invitrogen™ PA592215
Description
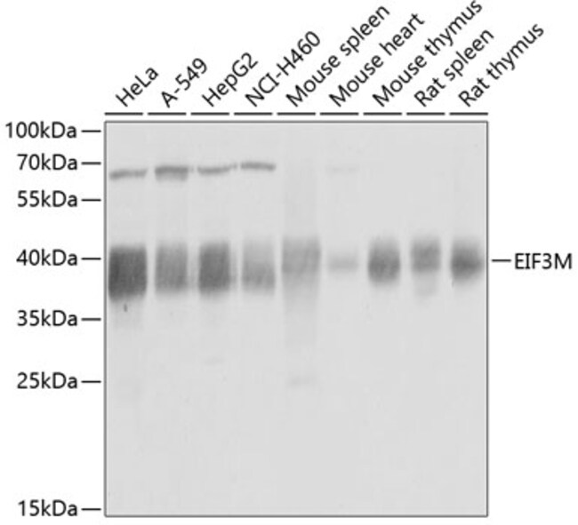
Immunogen sequence: MSVPAFIDIS EEDQAAELRA YLKSKGAEIS EENSEGGLHV DLAQIIEACD VCLKEDDKDV ESVMNSVVSL LLILEPDKQE ALIESLCEKL VKFREGERPS LRLQLLSNLF HGMDKNTPVR YTVYCSLIKV AASCGAIQYI PTELDQVRKW ISDWNLTTEK KHTLLRLLYE ALVDCKKSDA ASKVMVELLG SYTEDNASQA RVDAHRCIVR ALKDPNAFLF DHLLTLKPVK FLEGELIHDL LTIFVSAKLA SYVKFYQNNK DFIDSLGLLH EQNMAKMRLL TFMGMAVENK EISFDTMQQE LQIGADDVEA FVIDAVRTKM VYCKIDQTQR KVVVSHSTHR TFGKQQWQQL YDTLNAWKQN LNKVKNSLLS LSDT; Positive Samples: HeLa, A-549, HepG2, NCI-H460, Mouse spleen, Mouse heart, Mouse thymus, Rat spleen, Rat thymus; Cellular Location: Cytoplasm.
This gene encodes a protein that is part of the eurkaryotic translation initiation factor 3 complete (eIF-3) required for protein synthesis. Elevated levels of the encoded protein are present in cancer cell lines. Inactivation of the encoded protein has been shown to interfere with translation of herpes virus mRNAs by preventing the association of mRNAs with the ribosomes. A pseudogene of this gene is located on the X chromosome.
Specifications
| PCID1 | |
| Polyclonal | |
| Unconjugated | |
| EIF3M | |
| B5; B5 receptor; dendritic cell protein; dendritic cell protein GA17; eIF3m; Eukaryotic translation initiation factor 3 subunit M; eukaryotic translation initiation factor 3, subunit M; fetal lung protein B5; FLJ29030; GA17; HFLB5; hFL-B5; PCI domain containing 1 (herpesvirus entry mediator); PCI domain-containing protein 1; PCID1; PNAS-125; RGD1565840; Tango7; transport and golgi organization 7 homolog | |
| Rabbit | |
| Affinity chromatography | |
| RUO | |
| 10480, 295975, 98221 | |
| -20°C, Avoid Freeze/Thaw Cycles | |
| Liquid |
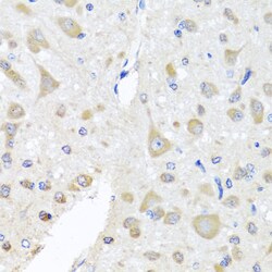
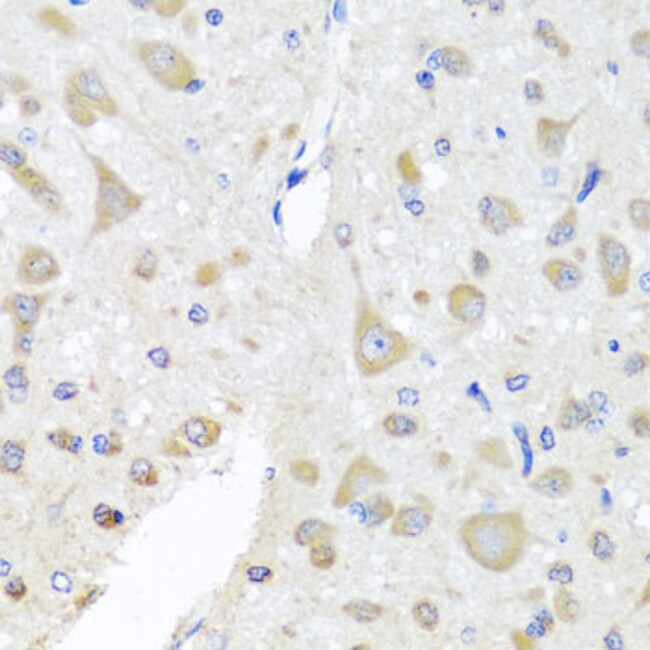
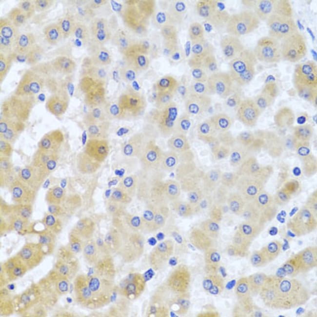
| ELISA, Immunohistochemistry (Paraffin), Western Blot | |
| 0.27 mg/mL | |
| PBS with 50% glycerol and 0.02% sodium azide; pH 7.3 | |
| Q7L2H7, Q99JX4 | |
| EIF3M | |
| Recombinant fusion protein containing a sequence corresponding to amino acids 1-374 of human EIF3M (NP_0063512). | |
| 100 μL | |
| Primary | |
| Human, Mouse, Rat | |
| Antibody | |
| IgG |
Safety and Handling
Your input is important to us. Please complete this form to provide feedback related to the content on this product.