Promotional price valid on web orders only. Your contract pricing may differ. Interested in signing up for a dedicated account number?
Learn More
Learn More
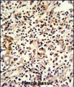
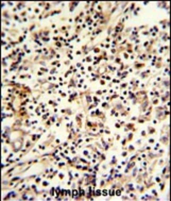
Invitrogen™ PCM1 Polyclonal Antibody

Rabbit Polyclonal Antibody
Supplier: Invitrogen™ PA514390
Description
PCM1 Polyclonal Antibody for Western Blot, IHC (P), Flow
PCM-1 is required for centrosome assembly and function. This protein is essential for the correct localization of several centrosomal proteins including CEP250, CETN3, PCNT and NEK2. The protein is required to anchor microtubules to the centrosome.
Specifications
| PCM1 | |
| Polyclonal | |
| Unconjugated | |
| PCM1 | |
| 2600002H09Rik; 9430077F19Rik; C030044G17Rik; hPCM-1; mPCM-1; Pcm1; PCM-1; pericentriolar material 1; pericentriolar material 1 protein; pericentriolar material 1, PCM1; pericentriolar material gene 1; PTC4; RET/PCM-1 | |
| Rabbit | |
| Antigen Affinity Chromatography, Protein A | |
| RUO | |
| 5108 | |
| Store at 4°C short term. For long term storage, store at -20°C, avoiding freeze/thaw cycles. | |
| Liquid |
| Flow Cytometry, Immunohistochemistry (Paraffin), Western Blot | |
| 0.5 mg/mL | |
| PBS with 0.09% sodium azide; pH 7.4 | |
| Q15154 | |
| PCM1 | |
| KLH conjugated synthetic peptide between 1816-1845 amino acids from the C-terminal region of human PCM-1. | |
| 400 μL | |
| Primary | |
| Human | |
| Antibody | |
| IgG |
Safety and Handling
WARNING: Cancer - www.P65Warnings.ca.gov
Product Content Correction
Your input is important to us. Please complete this form to provide feedback related to the content on this product.
Product Title
Spot an opportunity for improvement?Share a Content Correction