Promotional price valid on web orders only. Your contract pricing may differ. Interested in signing up for a dedicated account number?
Learn More
Learn More
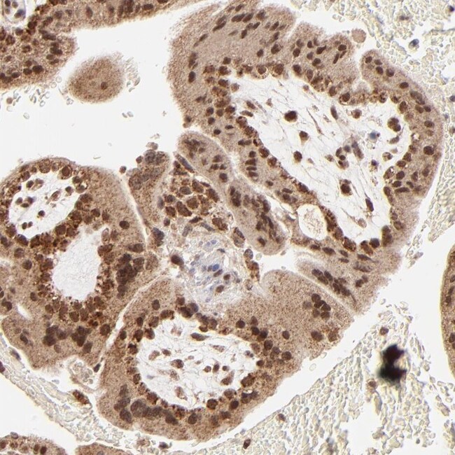
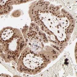
Invitrogen™ PCQAP Polyclonal Antibody

Rabbit Polyclonal Antibody
Supplier: Invitrogen™ PA551848
Description
Immunogen sequence: QKLVSQIEDA MRKAGVAHSK SSKDMESHVF LKAKTRDEYL SLVARLIIHF RDIHNKKSQA SVSDPMNALQ SLTGGPAAGA AGIGMPPRGP GQSLGGMGSL GAMGQPMSLS GQP Highest antigen sequence identity to the following orthologs: Mouse - 96%, Rat - 96%.
This gene encodes a transcription factor that represses GATA-regulated genes and binds to a dynein light chain protein. Binding of the encoded protein to the dynein light chain protein affects binding to GATA consensus sequences and suppresses its transcriptional activity. Defects in this gene are a cause of tricho-rhino-phalangeal syndrome (TRPS) types I-III.
Specifications
PCQAP | |
Polyclonal | |
Unconjugated | |
MED15 | |
A230074L19Rik; Activator-recruited cofactor 105 kDa component; activator-recruited cofactor, 105-kD; ARC105; AW536074; CAG7A; CTG repeat protein 7a; CTG7A; DKFZp686A2214; DKFZp762B1216; FLJ42282; FLJ42935; MED15; Mediator complex subunit 15; mediator of RNA polymerase II transcription subunit 15; mPcqap; PC2 (positive cofactor 2, multiprotein complex) glutamine/Q-rich-associated protein; PC2 glutamine/Q-rich-associated protein; PC2-glutamine-rich-associated protein; PCQAP; Positive cofactor 2 glutamine/Q-rich-associated protein; positive cofactor 2, glutamine/Q-rich-associated protein; positive cofactor 2, multiprotein complex, glutamine/Q-rich-associated protein; TIG1; TIG-1; TNRC7; TPA inducible gene-1; TPA inducible protein; TPA-inducible gene 1 protein; trinucleotide repeat containing 7; trinucleotide repeat-containing gene 7 protein | |
Rabbit | |
Antigen affinity chromatography | |
RUO | |
51586 | |
Store at 4°C short term. For long term storage, store at -20°C, avoiding freeze/thaw cycles. | |
Liquid |
Immunohistochemistry (Paraffin), Immunocytochemistry | |
0.1 mg/mL | |
PBS with 40% glycerol and 0.02% sodium azide; pH 7.2 | |
Q96RN5 | |
MED15 | |
Recombinant protein corresponding to Human PCQAP. Recombinant protein control fragment (Product #RP-91488). | |
100 μL | |
Primary | |
Human | |
Antibody | |
IgG |
Product Content Correction
Your input is important to us. Please complete this form to provide feedback related to the content on this product.
Product Title
Spot an opportunity for improvement?Share a Content Correction