Learn More
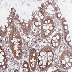
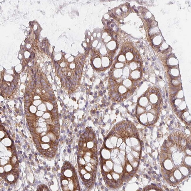
Invitrogen™ PDAP1 Polyclonal Antibody

Description
Immunogen sequence: KERYMKMHLA GKTEQAKADL ARLAIIRKQR EEAARKKEEE RKAKDDATLS GKRMQSLSLN K Highest antigen sequence identity to the following orthologs: Mouse - 100%, Rat - 100%.
Specifications
Specifications
| Antigen | PDAP1 |
| Applications | Immunohistochemistry (Paraffin) |
| Classification | Polyclonal |
| Concentration | 0.1 mg/mL |
| Conjugate | Unconjugated |
| Formulation | PBS with 40% glycerol and 0.02% sodium azide; pH 7.2 |
| Gene | PDAP1 |
| Gene Accession No. | Q13442 |
| Gene Alias | 28 kDa heat- and acid-stable phosphoprotein; HASPP28; heat- and acid-stable phosphoprotein of 28 kDa; kinase substrate HASPP28; PAP; PAP1; Pdap1; PDGFA associated protein 1; PDGFA-associated protein 1; PDGF-associated protein |
| Gene Symbols | PDAP1 |
| Show More |
By clicking Submit, you acknowledge that you may be contacted by Fisher Scientific in regards to the feedback you have provided in this form. We will not share your information for any other purposes. All contact information provided shall also be maintained in accordance with our Privacy Policy.