Learn More
Invitrogen™ PDCD4 Polyclonal Antibody

Description
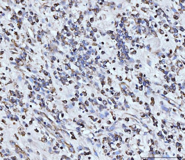
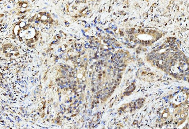
Reconstitute with 0.2 mL of distilled water to yield a concentration of 500 μg/mL. Positive Control - WB: human Daudi whole cell, human Hela whole cell, human 293T whole cell. IHC: human appendiceal adenocarcinoma tissue, human gall bladder adenosquamous carcinomaa tissue, human gastric adenocarcinoma tissue. Flow: HepG2 cell.
Specifications
Specifications
| Antigen | PDCD4 |
| Applications | Flow Cytometry, Immunohistochemistry (Paraffin), Western Blot |
| Classification | Polyclonal |
| Concentration | 500 μg/mL |
| Conjugate | Unconjugated |
| Formulation | PBS with 4mg trehalose and no preservative |
| Gene | PDCD4 |
| Gene Accession No. | Q53EL6 |
| Gene Alias | D19Ucla1; death up-regulated gene protein; death-upregulated; Dug; H731; Ma3; MGC33046; MGC33047; Neoplastic transformation inhibitor protein; nuclear antigen H731; Nuclear antigen H731-like; Pdcd4; programmed cell death 4; programmed cell death 4 (neoplastic transformation inhibitor); programmed cell death protein 4; Protein 197/15a; protein MA-3; RP11-348N5.4; Tis; topoisomerase-inhibitor suppressed protein |
| Gene Symbols | PDCD4 |
| Show More |
By clicking Submit, you acknowledge that you may be contacted by Fisher Scientific in regards to the feedback you have provided in this form. We will not share your information for any other purposes. All contact information provided shall also be maintained in accordance with our Privacy Policy.