Promotional price valid on web orders only. Your contract pricing may differ. Interested in signing up for a dedicated account number?
Learn More
Learn More
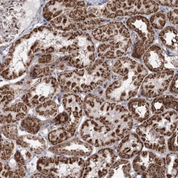
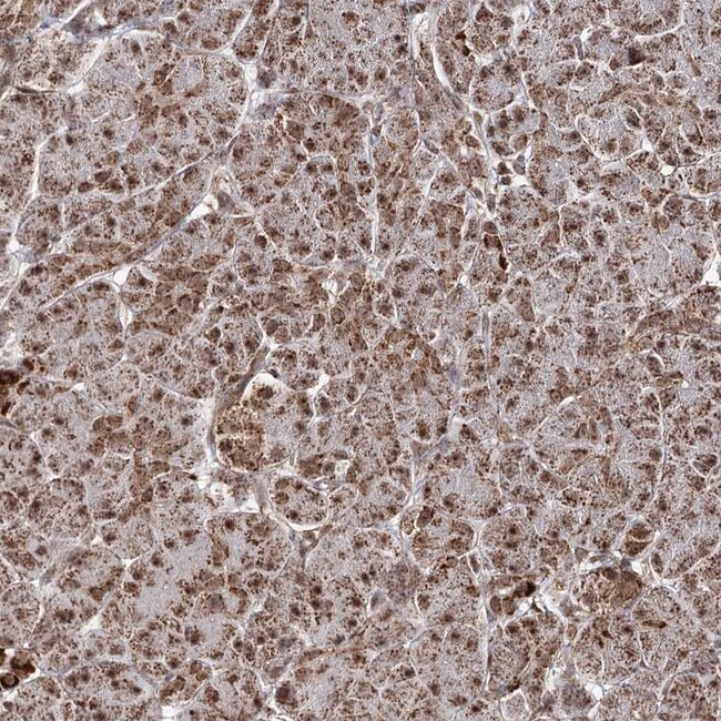
Invitrogen™ PDHX Polyclonal Antibody

Rabbit Polyclonal Antibody
Supplier: Invitrogen™ PA583421
Description
Immunogen sequence: DASDDGILAK IVVEEGSKNI RLGSLIGLIV EEGEDWKHVE IPKDVGPPPP VSKPSEPRPS PEPQISIPVK KEHIPGTLRF RLS.
The PDHX gene encodes component X of the pyruvate dehydrogenase (PDH) complex. For a detailed description of the pyruvate dehydrogenase complex. The mammalian PDH complex differs from that in E. coli and from the other mammalian alpha-keto acid dehydrogenases by the presence of a 53-kDa protein called protein X. Component X binds to the E3 component of the PDH complex (Robinson et al., 1990 ; Aral et al., 1997 ).
Specifications
PDHX | |
Polyclonal | |
Unconjugated | |
Pdhx | |
Ac1164; AI481367; component X; Dihydrolipoamide dehydrogenase-binding protein of pyruvate dehydrogenase complex; dihydrolipoamide dehydrogenase-binding protein of pyruvate dehydrogenase complex (E3-binding protein) (proX); DLDBP; E3-binding protein; E3BP; GSF; IDX-1; IPF1; IPF-1; IUF-1; lipoyl-containin; lipoyl-containing pyruvate dehydrogenase complex component X; OPDX; Pdhx; PDX1; PDX-1; proX; pyruvate dehydrogenase; pyruvate dehydrogenase complex component X; pyruvate dehydrogenase complex, component X; pyruvate dehydrogenase complex, E3-binding protein subunit; pyruvate dehydrogenase complex, lipoyl-containing component X; pyruvate dehydrogenase protein X component, mitochondrial; STF-1 | |
Rabbit | |
Antigen Affinity Chromatography | |
RUO | |
8050 | |
Store at 4°C short term. For long term storage, store at -20°C, avoiding freeze/thaw cycles. | |
Liquid |
Immunohistochemistry (Paraffin), Western Blot | |
0.3 mg/mL | |
PBS with 40% glycerol and 0.02% sodium azide; pH 7.2 | |
O00330 | |
Pdhx | |
Recombinant protein corresponding to Human PDHX. Recombinant protein control fragment (Product #RP-97306). | |
100 μL | |
Primary | |
Human | |
Antibody | |
IgG |
Safety and Handling
WARNING: Cancer - www.P65Warnings.ca.gov
Product Content Correction
Your input is important to us. Please complete this form to provide feedback related to the content on this product.
Product Title
Spot an opportunity for improvement?Share a Content Correction