Learn More
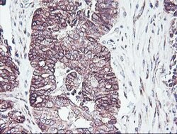
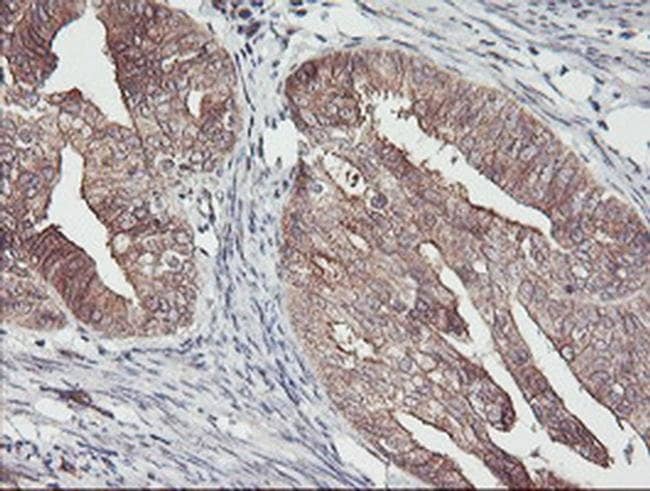
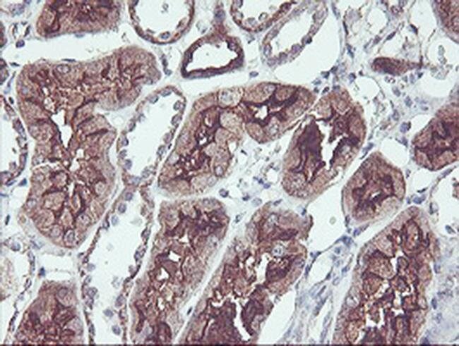
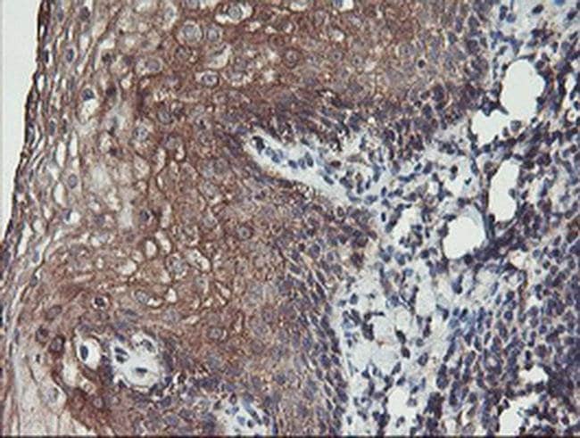
PDRG1 Monoclonal Antibody (OTI4F12), TrueMAB™, OriGene

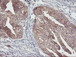
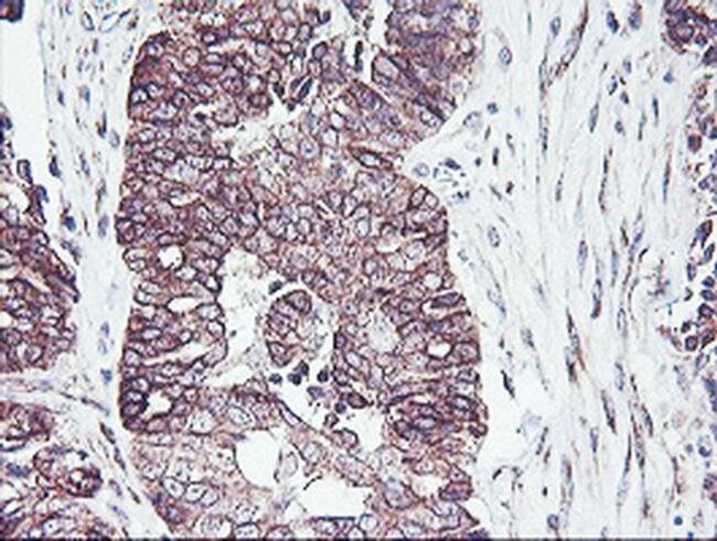
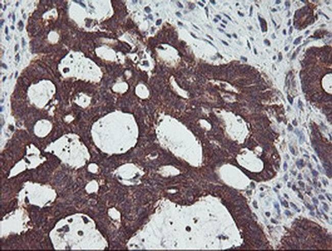
Description
Specifications
Specifications
| Antigen | PDRG1 |
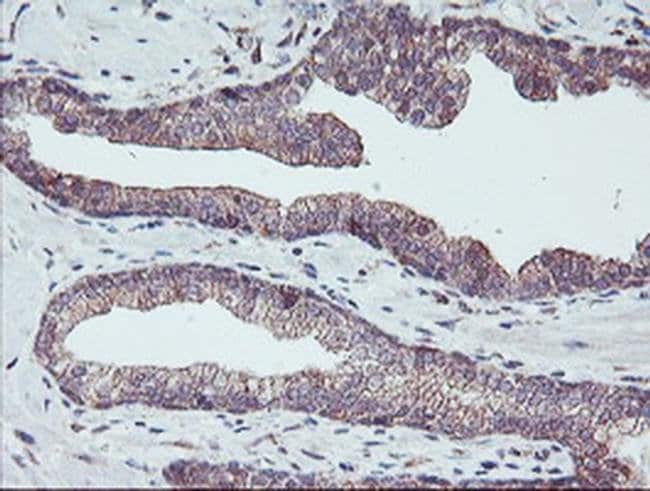
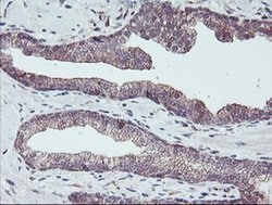
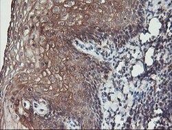
| Applications | Flow Cytometry, Immunohistochemistry (Paraffin), Western Blot |
| Classification | Monoclonal |
| Clone | OTI4F12 |
| Concentration | 1.22 mg/mL |
| Conjugate | Unconjugated |
| Formulation | PBS with 1% BSA, 50% glycerol and 0.02% sodium azide |
| Gene | Ramp2 |
| Gene Accession No. | O60895 |
| Gene Alias | 1110004D19Rik; AU020945; AV006589; C20orf126; p53 and DNA damage regulated 1; p53 and DNA damage-regulated protein 1; p53 and DNA-damage regulated 1; PDRG; PDRG1; RGD1305096 |
| Show More |
By clicking Submit, you acknowledge that you may be contacted by Fisher Scientific in regards to the feedback you have provided in this form. We will not share your information for any other purposes. All contact information provided shall also be maintained in accordance with our Privacy Policy.