Learn More
Pds5B Rabbit anti-Human, Mouse, Polyclonal, Bethyl Laboratories
Rabbit Polyclonal Antibody
Supplier: Bethyl Laboratories, Inc A300537A

Description
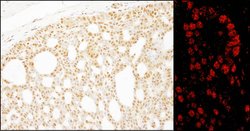
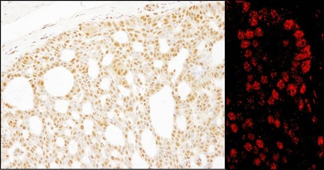
The recommended shelf life for this product is 1 year from date of receipt. Application Note: For IHC, epitope retrieval with citrate buffer pH 6.0 is recommended for FFPE tissue sections.
This gene encodes a protein that interacts with the conserved protein complex termed cohesion. The cohesion complex holds together sister chromatids and facilitates accurate chromosome segregation during mitosis and meiosis. This protein is also a negative regulator of cell proliferation and may be a tumor-suppressor gene.Specifications
Pds5B | |
Polyclonal | |
Unconjugated | |
PDS5B | |
APRIN, AS3, CG008, androgen induced inhibitor of proliferation, androgen-induced proliferation inhibitor, androgen-induced prostate proliferative shutoff-associated protein AS3, androgen-induced shutoff 3, sister chromatid cohesion protein PDS5 homolog B | |
Rabbit | |
Antigen affinity chromatography | |
RUO | |
100710, 23047 | |
4° C | |
Liquid |
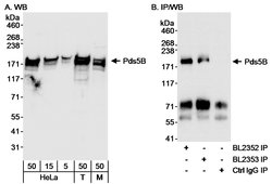
Immunofluorescence, Immunohistochemistry, Immunoprecipitation, Western Blot | |
0.2 mg/ml | |
TBS with 0.1% BSA and 0.09% sodium azide | |
Q4VA53, Q9NTI5 | |
PDS5B | |
Between 1200 and 1250 | |
100 μL | |
Primary | |
Human, Mouse | |
Antibody | |
IgG |
The Fisher Scientific Encompass Program offers items which are not part of our distribution portfolio. These products typically do not have pictures or detailed descriptions. However, we are committed to improving your shopping experience. Please use the form below to provide feedback related to the content on this product.