Promotional price valid on web orders only. Your contract pricing may differ. Interested in signing up for a dedicated account number?
Learn More
Learn More
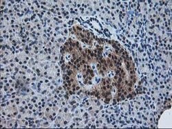
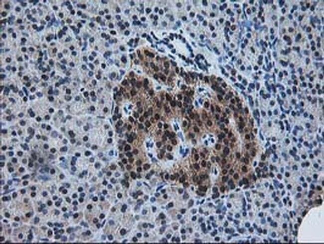
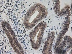
PDXK Monoclonal Antibody (OTI5H5), TrueMAB™, OriGene

Mouse Monoclonal Antibody
Supplier: OriGene TA502998

Description
Pyridoxal kinase (PDXK) converts vitamin B6 to pyridoxal-5-phosphate (PLP), an essential cofactor in the intermediate metabolism of amino acids and neurotransmitters. The PDXK gene encodes a 312-amino acid polypeptide, and expression of the cDNA reveals pyridoxal kinase activity. Northern blot analysis revealed that a major 1.5-kb PDXK transcript is expressed in all tissues tested. The expression of PDXK shows circadian oscillations. The expression of Pdxk in mouse liver and brain is regulated by the 3 PAR bZIP transcription factors, Dbp, Hlf, and Tef, which also show circadian oscillations in expression. Mice devoid of all 3 transcription factors show decreased levels of brain PLP, serotonin, and dopamine, and are highly susceptible to frequently lethal generalized spontaneous and audiogenic epilepsies.Specifications
PDXK | |
Monoclonal | |
0.82 mg/mL | |
PBS with 1% BSA, 50% glycerol and 0.02% sodium azide | |
O00764 | |
PDXK | |
Full length human recombit protein of human PDXK produced in HEK293 cell. | |
100 μL | |
Primary | |
Human | |
Antibody | |
IgG2a |
Flow Cytometry, Immunocytochemistry, Immunofluorescence, Immunohistochemistry (Paraffin), Western Blot | |
OTI5H5 | |
Unconjugated | |
PDXK | |
C21orf124, C21orf97, HEL-S-1a, PKH, PNK, PRED79 | |
Mouse | |
Affinity Chromatography | |
RUO | |
8566 | |
-20° C, Avoid Freeze/Thaw Cycles | |
Liquid |
Product Content Correction
The Fisher Scientific Encompass Program offers items which are not part of our distribution portfolio. These products typically do not have pictures or detailed descriptions. However, we are committed to improving your shopping experience. Please use the form below to provide feedback related to the content on this product.
Product Title
Spot an opportunity for improvement?Share a Content Correction