Learn More
Invitrogen™ PEF1 Polyclonal Antibody

Description
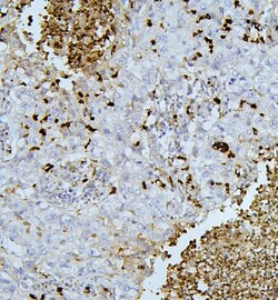
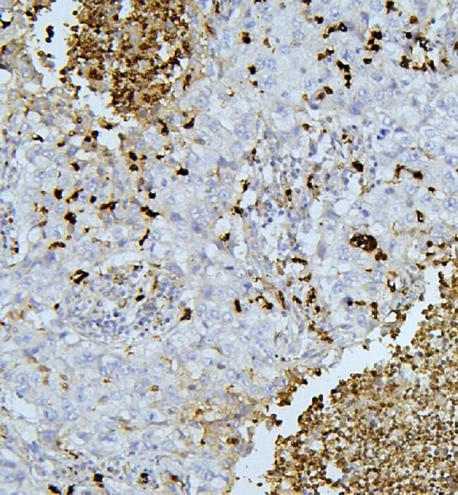
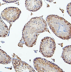
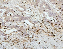
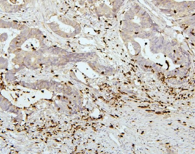
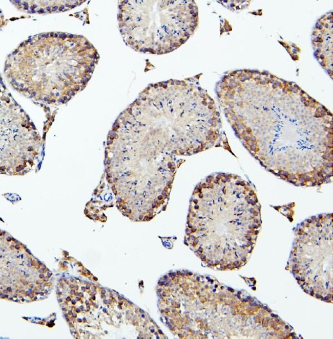
Reconstitute with 0.2 mL of distilled water to yield a concentration of 500 μg/mL. Positive Control - WB: human HEK293 whole cell, human placenta tissue, human PC-3 whole cell, human U-87MG whole cell, human U-937 whole cell, human HepG2 whole cell, human A431 whole cell, human U2OS whole cell, rat lung tissues, rat testicular tissue, mouse lung tissue, mouse testicular tissue. IHC: mouse testis tissue, rat testis tissue, human colon cancer tissue, human lung cancer tissue. Store at -20°C for one year from date of receipt. After reconstitution, at 4°C for one month. It can also be aliquotted and stored frozen at -20°C for six months. Avoid repeated freeze-thaw cycles.
Specifications
Specifications
| Antigen | PEF1 |
| Applications | ELISA, Immunohistochemistry (Paraffin), Western Blot |
| Classification | Polyclonal |
| Concentration | 500 μg/mL |
| Conjugate | Unconjugated |
| Formulation | PBS with 4mg trehalose and 0.05mg sodium azide |
| Gene | PEF1 |
| Gene Accession No. | Q641Z8, Q8BFY6, Q9UBV8 |
| Gene Alias | 2600002E23Rik; ABP32; PEF protein with a long N-terminal hydrophobic domain; Pef1; PEF1A; Peflin; peflin; LOW QUALITY PROTEIN: peflin; penta-EF hand domain containing 1; penta-EF hand domain-containing protein 1; penta-EF-hand domain containing 1; UNQ1845/PRO3573; zgc:100787 |
| Gene Symbols | PEF1 |
| Show More |
By clicking Submit, you acknowledge that you may be contacted by Fisher Scientific in regards to the feedback you have provided in this form. We will not share your information for any other purposes. All contact information provided shall also be maintained in accordance with our Privacy Policy.