Promotional price valid on web orders only. Your contract pricing may differ. Interested in signing up for a dedicated account number?
Learn More
Learn More
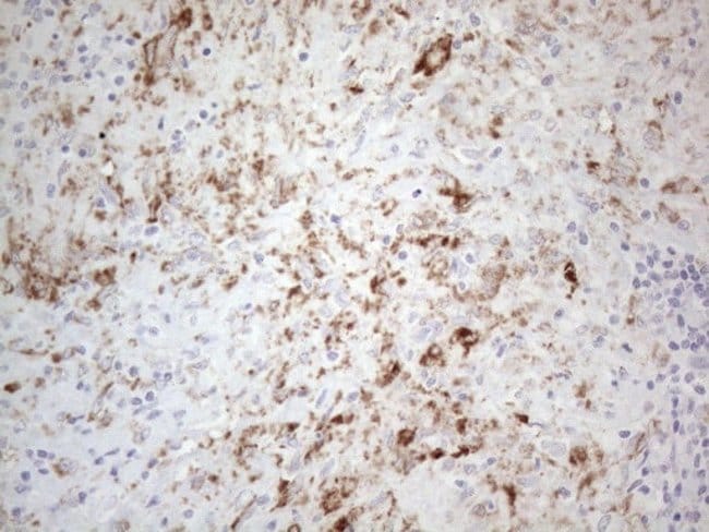
Invitrogen™ Pellino 1 Monoclonal Antibody (OTI10D1)

Mouse Monoclonal Antibody
Supplier: Invitrogen™ MA526914
Description
Pellino 1 Monoclonal Antibody for Western Blot, IHC (P)
The Pellino proteins are a highly homologous family of E3 ubiquitin ligases that act as upstream mediators in Toll-like receptor (TLR) pathways that lead to activation of MAP kinases and transcription factors. Pellino 1 is required for interleukin-1-mediated signaling through its interaction with the IRAK4-IRAK-TRAF6 complex, ultimately resulting in the activation of NF-Kappa-B. Like other members of the Pellino family, Pellino 1 is an E3 ubiquitin ligase, able to catalyze the polyubiquitination of IRAK1. It is activated via phosphorylation by either IRAK1 and IRAK4 or the IKK-related kinases IKK-epsilon; and TBK1. In addition to phosphorylation, Pellino 1 activity is also modulated via ubiquitination and sumoylation.
Specifications
| Pellino 1 | |
| Monoclonal | |
| 1 mg/mL | |
| PBS with 1% BSA, 50% glycerol and 0.02% sodium azide; pH 7.3 | |
| Q96FA3 | |
| PELI1 | |
| Human recombinant protein fragment corresponding to amino acids 1-245 of PELI1 produced in E.coli. | |
| 100 μL | |
| Primary | |
| Human | |
| Antibody | |
| IgG1 |
| Immunohistochemistry (Paraffin), Western Blot | |
| OTI10D1 | |
| Unconjugated | |
| PELI1 | |
| 2810468L03Rik; A930031K15Rik; AA409794; AI586297; D11Ertd676e; E3 ubiquitin-protein ligase pellino homolog 1; Peli1; pellino 1; pellino E3 ubiquitin protein ligase 1; pellino homolog 1; pellino1; pellino-1; Pellino-related intracellular-signaling molecule; PRISM; protein pellino homolog 1; RING-type E3 ubiquitin transferase pellino homolog 1 | |
| Mouse | |
| Affinity Chromatography | |
| RUO | |
| 57162 | |
| -20°C, Avoid Freeze/Thaw Cycles | |
| Liquid |
Product Content Correction
Your input is important to us. Please complete this form to provide feedback related to the content on this product.
Product Title
Spot an opportunity for improvement?Share a Content Correction