Promotional price valid on web orders only. Your contract pricing may differ. Interested in signing up for a dedicated account number?
Learn More
Learn More
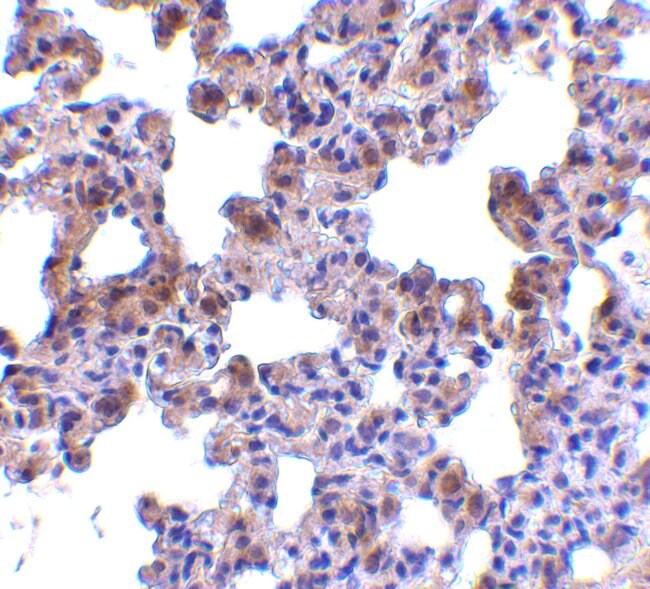
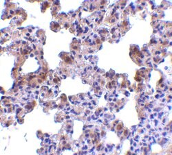
Invitrogen™ PEN2 Polyclonal Antibody

Rabbit Polyclonal Antibody
Supplier: Invitrogen™ PA520302
Description
A suggested positive control is A-20 cell lysate. PA5-20302 can be used with blocking peptide PEP-0427.
Presenilins, which are components of the gamma-secretase protein complex, are required for intramembranous processing of some type I transmembrane proteins, such as the Notch proteins and the beta-amyloid precursor protein. Signaling by Notch receptors mediates a wide range of developmental cell fates. Processing of the beta-amyloid precursor protein generates neurotoxic amyloid beta peptides, the major component of senile plaques associated with Alzheimer's disease. This gene encodes a protein that is required for Notch pathway signaling, and for the activity and accumulation of gamma-secretase.
Specifications
PEN2 | |
Polyclonal | |
Unconjugated | |
PSENEN | |
1700023M09Rik; gamma-secretase subunit PEN-2; hematopoietic stem/progenitor cells protein MDS033; liver regeneration-related protein LRRGT00140; LRRGT00140 mRNA; MDS033; MSTP064; Pen2; Pen-2; presenilin enhancer 2; presenilin enhancer 2 homolog; presenilin enhancer 2 homolog (C. elegans); presenilin enhancer gamma secretase subunit; presenilin enhancer gamma-secretase subunit; presenilin enhancer protein 2; presenilin enhancer, gamma-secretase subunit; Psenen; RGD1312037 | |
Rabbit | |
Antigen affinity chromatography | |
RUO | |
292788, 55851, 66340 | |
Maintain refrigerated at 2°C to 8°C for up to 3 months. For long term storage store at -20°C | |
Liquid |
Immunohistochemistry, Western Blot, Immunocytochemistry | |
1 mg/mL | |
PBS with 0.02% sodium azide | |
Q6QI68, Q9CQR7, Q9NZ42 | |
PSENEN | |
A 13 amino acid peptide from near the amino terminus of human PEN2. | |
100 μg | |
Primary | |
Human, Mouse, Rat | |
Antibody | |
IgG |
Safety and Handling
WARNING: Cancer - www.P65Warnings.ca.gov
Product Content Correction
Your input is important to us. Please complete this form to provide feedback related to the content on this product.
Product Title
Spot an opportunity for improvement?Share a Content Correction