Promotional price valid on web orders only. Your contract pricing may differ. Interested in signing up for a dedicated account number?
Learn More
Learn More
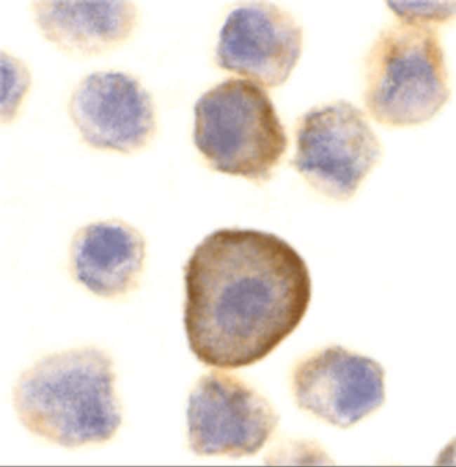
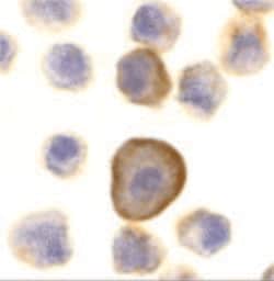
Invitrogen™ PERP Polyclonal Antibody

Rabbit Polyclonal Antibody
Supplier: Invitrogen™ PA519980
Description
In Western blot applications, this antibody detects a band at ~21kDa. A suggested positive control is A431 cell lysate. PA5-19980 can be used with blocking peptide PEP-0104.
The p53 tumor-suppressor gene integrates numerous signals that control cell life and death. Several novel molecules involved in p53 network, including Chk2, p53R2, p53AIP1, Noxa, PIDD, PID/MTA2, MTBP and PERP, were identified and their genes were cloned recently. PERP, also termed PIGPC1 and THW, is a plasma membrane protein. p53 binds to the promoter of PERP and transcriptionally activates PERP gene then the translated PERP protein mediates the p53 induced apoptosis. The expression of PERP causes cell death. PERP is a mediator of p53 induced apoptosis. PERP has sequence similarity to PMP-22/gas3 and is a new member of the PMP-22/gas3 family.
Specifications
| PERP | |
| Polyclonal | |
| Unconjugated | |
| PERP | |
| 1110017A08Rik; dJ496H19.1; HGNC:17637; KCP1; KCP-1; keratinocyte associated protein 1; keratinocyte-associated protein 1; keratinocytes associated protein 1; KRTCAP1; p53 apoptosis effector related to PMP22; p53 apoptosis effector related to PMP-22; p53 apoptosis-associated target; p53-induced protein PIGPC1; PERP; PERP, TP53 apoptosis effector; PIGPC1; RP3-496H19.1; THW; Transmembrane protein THW | |
| Rabbit | |
| Antigen affinity chromatography | |
| RUO | |
| 64065 | |
| Maintain refrigerated at 2-8°C for up to 3 months. For long term storage store at -20°C | |
| Liquid |
| Western Blot, Immunocytochemistry | |
| 1 mg/mL | |
| PBS with 0.02% sodium azide | |
| Q96FX8 | |
| PERP | |
| A synthetic peptide corresponding to amino acids near the carboxy terminus of human PERP. | |
| 100 μg | |
| Primary | |
| Human | |
| Antibody | |
| IgG |
Safety and Handling
WARNING: Cancer - www.P65Warnings.ca.gov
Product Content Correction
Your input is important to us. Please complete this form to provide feedback related to the content on this product.
Product Title
Spot an opportunity for improvement?Share a Content Correction