Promotional price valid on web orders only. Your contract pricing may differ. Interested in signing up for a dedicated account number?
Learn More
Learn More
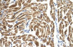
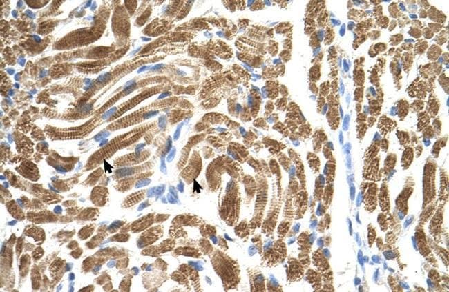
Invitrogen™ PEX10 Polyclonal Antibody

Rabbit Polyclonal Antibody
Supplier: Invitrogen™ PA542366
Description
Peptide sequence: QALRPDPLRV LMSVAPSALQ LRVRSLPGED LRARVSYRLL GVISLLHLVL Sequence homology: Human: 100%.
This gene encodes a protein involved in import of peroxisomal matrix proteins. This protein localizes to the peroxisomal membrane. Mutations in this gene result in phenotypes within the Zellweger spectrum of peroxisomal biogenesis disorders, ranging from neonatal adrenoleukodystrophy to Zellweger syndrome. Alternative splicing results in two transcript variants encoding different isoforms. [provided by RefSeq, Jul 2008].
Specifications
| PEX10 | |
| Polyclonal | |
| Unconjugated | |
| PEX10 | |
| AV128229; Gm142; MGC1998; NALD; PBD6A; PBD6B; peroxin 10; peroxin-10; Peroxisomal biogenesis factor 10; peroxisome assembly protein 10; Peroxisome biogenesis factor 10; Pex10; RING finger protein 69; RNF69 | |
| Rabbit | |
| Affinity chromatography | |
| RUO | |
| 5192 | |
| -20°C, Avoid Freeze/Thaw Cycles | |
| Liquid |
| Immunohistochemistry, Western Blot | |
| 0.5 mg/mL | |
| PBS with 2% sucrose and 0.09% sodium azide | |
| O60683 | |
| PEX10 | |
| Synthetic peptide directed towards the middle region of human PEX10. | |
| 100 μL | |
| Primary | |
| Human | |
| Antibody | |
| IgG |
Safety and Handling
WARNING: Cancer - www.P65Warnings.ca.gov
Product Content Correction
Your input is important to us. Please complete this form to provide feedback related to the content on this product.
Product Title
Spot an opportunity for improvement?Share a Content Correction