Promotional price valid on web orders only. Your contract pricing may differ. Interested in signing up for a dedicated account number?
Learn More
Learn More
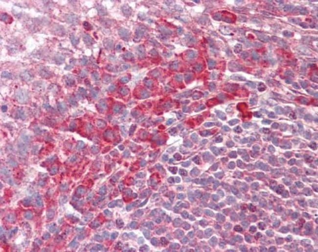
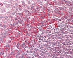
Invitrogen™ PEX13 Polyclonal Antibody

Rabbit Polyclonal Antibody
Supplier: Invitrogen™ PA521751
Description
Recommended positive controls: Molt-4. Store product as a concentrated solution. Centrifuge briefly prior to opening the vial.
PEX13 (Peroxisomal Biogenesis Factor 13) is a gene located on chromosome 2p15 that encodes a peroxisomal membrane protein essential for the biogenesis and function of peroxisomes, which are cellular organelles involved in lipid metabolism and detoxification of reactive oxygen species. PEX13 is a component of the peroxisomal import machinery that specifically recognizes and binds to peroxisomal targeting signal 1 (PTS1) containing proteins, facilitating their import into the peroxisome matrix. Mutations in the PEX13 gene can lead to Zellweger spectrum disorders, a group of peroxisome biogenesis disorders (PBDs) characterized by defects in multiple peroxisomal metabolic pathways, leading to severe developmental issues, neurological deficits, and often early lethality. Studies of PEX13 have helped elucidate the mechanisms of peroxisomal protein import and the broader implications of peroxisomal dysfunction in human disease.
Specifications
| PEX13 | |
| Polyclonal | |
| Unconjugated | |
| PEX13 | |
| NALD; PBD11A; PBD11B; Peroxin-13; peroxisomal biogenesis factor 13; peroxisomal membrane protein PEX13; peroxisome biogenesis factor 13; Pex13; ZWS | |
| Rabbit | |
| Antigen affinity chromatography | |
| RUO | |
| 5194 | |
| Store at 4°C short term. For long term storage, store at -20°C, avoiding freeze/thaw cycles. | |
| Liquid |
| Immunohistochemistry (Paraffin), Western Blot | |
| 1 mg/mL | |
| PBS with 10% glycerol and 0.01% thimerosal; pH 7 | |
| Q92968 | |
| PEX13 | |
| Carrier-protein conjugated synthetic peptide encompassing a sequence within the C-terminus region of human PEX13. The exact sequence is proprietary. | |
| 100 μL | |
| Primary | |
| Human | |
| Antibody | |
| IgG |
Safety and Handling
WARNING: Cancer - www.P65Warnings.ca.gov
Product Content Correction
Your input is important to us. Please complete this form to provide feedback related to the content on this product.
Product Title
Spot an opportunity for improvement?Share a Content Correction