Promotional price valid on web orders only. Your contract pricing may differ. Interested in signing up for a dedicated account number?
Learn More
Learn More
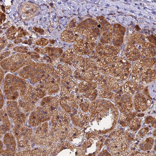
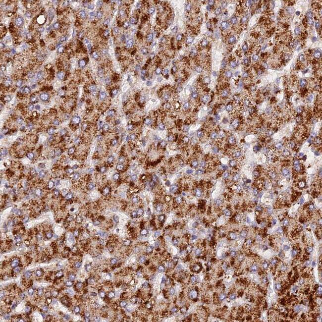
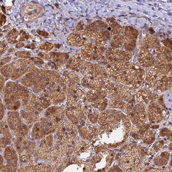
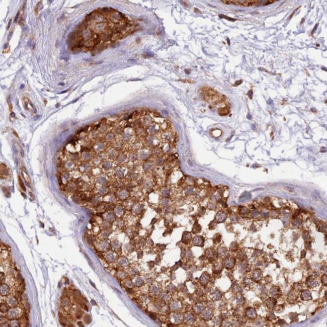
Invitrogen™ PEX3 Polyclonal Antibody

Rabbit Polyclonal Antibody
Supplier: Invitrogen™ PA583635
Description
Immunogen sequence: LDNMAEFFRP TEQDLQHGNS MNSLSSVSLP LAKIIPIVNG QIHSVCSETP SHFVQDLLTM EQVKDFAANV YEAFSTPQQ.
Peroxin 3, also known as PEX3 (peroxisomal biogenesis factor 3) or TRG18, is a 373 amino acid multi-pass membrane protein that localizes to peroxisomes and belongs to the Peroxin family. Expressed ubiquitously, Peroxin 3 interacts with Peroxin 19 and is involved in peroxisome biosynthesis and membrane vesicle assembly, as well as in the maintenance of peroxisomal integrity. Additionally, Peroxin 3 acts as a docking factor for Peroxin 19 and is required for the import of peroxisomal proteins. Defects in the gene encoding Peroxin 3 are the cause of peroxisome biogenesis disorder complementation group 12 (PBD-CG12) and Zellweger syndrome (ZwS), both of which arise from a failure of peroxisomal protein import.
Specifications
PEX3 | |
Polyclonal | |
Unconjugated | |
PEX3 | |
1700014F15Rik; 2810027F19Rik; 2900010N04Rik; PBD10A; Peroxin3; peroxin-3; peroxisomal assembly protein 3; peroxisomal assembly protein PEX3; Peroxisomal biogenesis factor 3; pex3; transformation-related protein 18; TRG18; zgc:56313 | |
Rabbit | |
Antigen Affinity Chromatography | |
RUO | |
8504 | |
Store at 4°C short term. For long term storage, store at -20°C, avoiding freeze/thaw cycles. | |
Liquid |
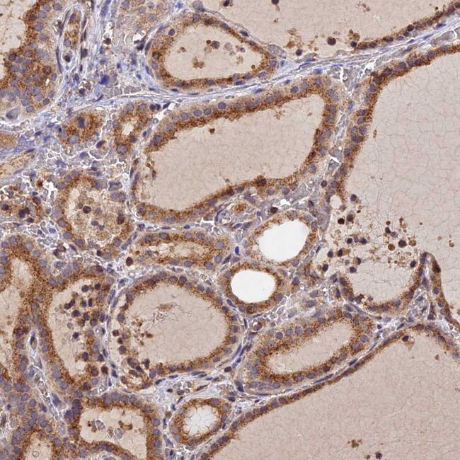
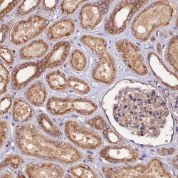
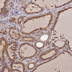
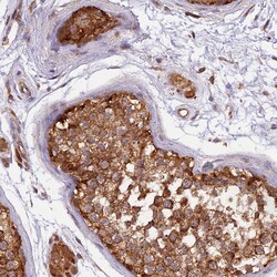
Immunohistochemistry (Paraffin), Immunocytochemistry | |
0.05 mg/mL | |
PBS with 40% glycerol and 0.02% sodium azide; pH 7.2 | |
P56589 | |
PEX3 | |
Recombinant protein corresponding to Human PEX3. Recombinant protein control fragment (Product #RP-95049). | |
100 μL | |
Primary | |
Human | |
Antibody | |
IgG |
Product Content Correction
Your input is important to us. Please complete this form to provide feedback related to the content on this product.
Product Title
Spot an opportunity for improvement?Share a Content Correction