Promotional price valid on web orders only. Your contract pricing may differ. Interested in signing up for a dedicated account number?
Learn More
Learn More
Invitrogen™ PF4 Polyclonal Antibody

Rabbit Polyclonal Antibody
Supplier: Invitrogen™ PA5120547
Description
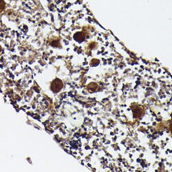
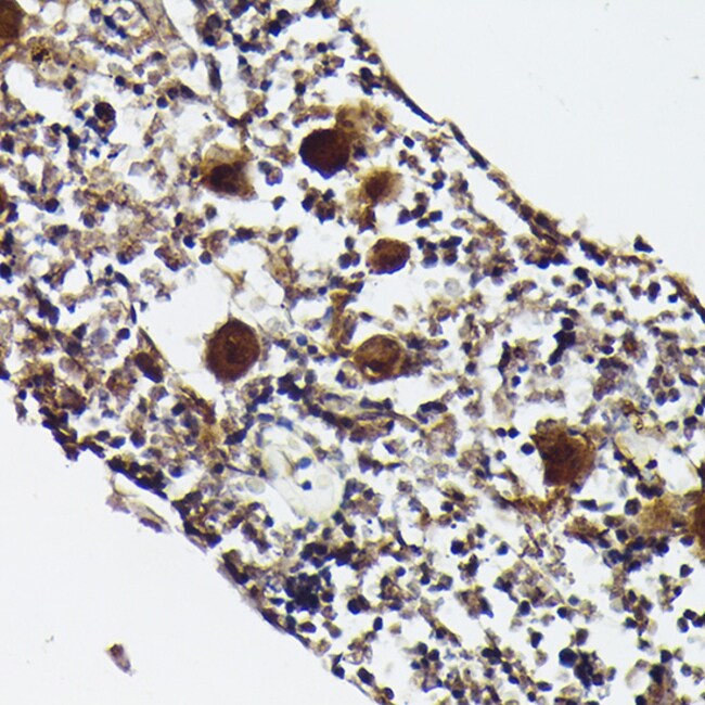
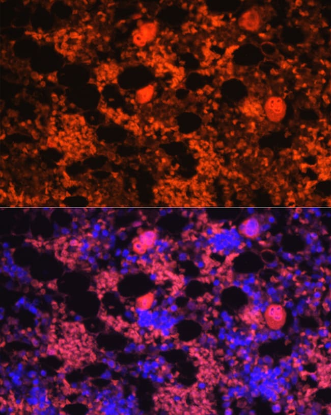
Positive test controls include: Mouse spleen, Rat lung, Rat spleen, Rat plasma. Immunogen sequence: EAEEDGDLQC LCVKTTSQVR PRHITSLEVI KAGPHCPTAQ LIATLKNGRK ICLDLQAPLY KKIIKKLLES.
Platelet factor-4 is a 70-amino acid protein that is released from the alpha-granules of activated platelets and binds with high affinity to heparin. Its major physiologic role appears to be neutralization of heparin-like molecules on the endothelial surface of blood vessels, thereby inhibiting local antithrombin III activity and promoting coagulation. As a strong chemoattractant for neutrophils and fibroblasts, PF4 probably has a role in inflammation and wound repair (Eisman et al., 1990).
Specifications
PF4 | |
Polyclonal | |
Unconjugated | |
Pf4 | |
chemokine (C-X-C motif) ligand 4; C-X-C motif chemokine 4; Cxcl4; Endothelial cell growth inhibitor; Iroplact; oncostatin-A; PF4; PF-4; Pf4a; Platelet factor 4; Platelet factor 4, short form; RATPF4A; Scyb4 | |
Rabbit | |
Affinity chromatography | |
RUO | |
360918, 5196, 56744 | |
-20°C, Avoid Freeze/Thaw Cycles | |
Liquid |
ELISA, Immunohistochemistry (Paraffin), Western Blot, Immunocytochemistry | |
0.95 mg/mL | |
PBS with 50% glycerol and 0.02% sodium azide; pH 7.3 | |
P02776, P06765, Q9Z126 | |
Pf4 | |
Recombinant fusion protein containing a sequence corresponding to amino acids 32-101 of human CXCL4/PF4 (NP_002610.1). | |
100 μL | |
Primary | |
Human, Mouse, Rat | |
Antibody | |
IgG |
Product Content Correction
Your input is important to us. Please complete this form to provide feedback related to the content on this product.
Product Title
Spot an opportunity for improvement?Share a Content Correction