Promotional price valid on web orders only. Your contract pricing may differ. Interested in signing up for a dedicated account number?
Learn More
Learn More
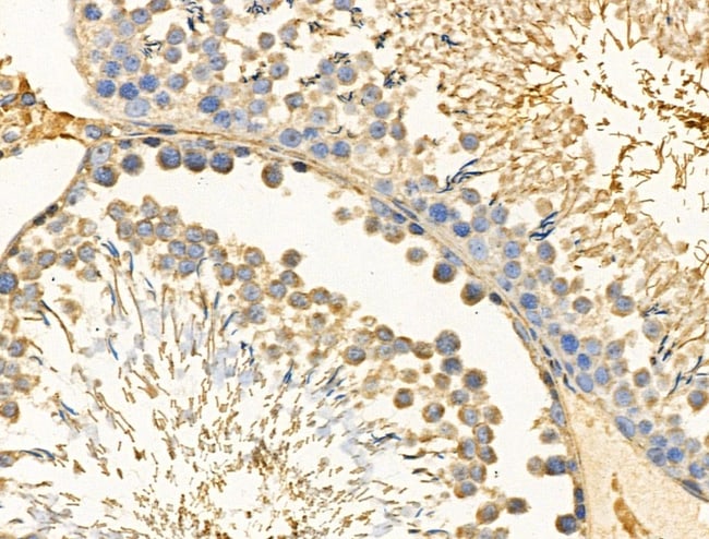
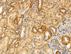
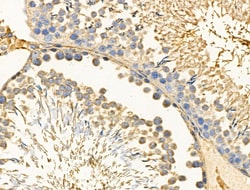
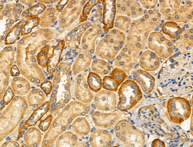
Invitrogen™ PFKL Polyclonal Antibody

Rabbit Polyclonal Antibody
Supplier: Invitrogen™ PA5101088
Description
Antibody detects endogenous levels of total K6PL.
Phosphofructokinase (PFK), a major regulatory enzyme in all cells of the body, catalyzes the metabolism of sugar, and thereby is pivotal in the production of energy to maintain normal cell function. In human there are three structural loci controlling PFK: M (muscle), L (liver), and P (platelet) type subunits, which are variably expressed in different tissues; human diploid fibroblasts and leukocytes express all three genes. PFK, a tetramer formed by the random association of the products of two separate gene loci to form the five possible tetramers. PFKs of muscle and liver are homotetramers of the M and L subunits, respectively. Red cells have all five isozymes: M4, M3L, M2L2, ML3, and L4. PFK is an allosteric enzyme activated by ADP, AMP, or fructose bisphosphate and inhibited by ATP or citrate. PFK catalyzes the key controlling step of glycolytic pathway. PFK deficiency can present as mild to life-threatening episodic illness. A hallmark sign of this disease is intermittent dark urine, with the color of the urine ranging from orange to dark coffee-brown, which commonly develops following strenuous exercise. The mean red cell PFK is elevated in persons with Down syndrome.
Specifications
PFKL | |
Polyclonal | |
Unconjugated | |
PFKL | |
6-phosphofructokinase type B; 6-phosphofructokinase, liver type; AA407869; ATP-dependent 6-phosphofructokinase, liver type; ATP-dependent 6-phosphofructokinase, liver type {ECO:0000255; ATP-PFK; ATP-PFK {ECO:0000255; EC 2.7.1.11; HAMAP-Rule:MF_03184}; K6PL; liver-type 1-phosphofructokinase; Pfkb; PFK-B; Pfkl; Pfk-l; Phosphofructo-1-kinase isozyme B; phosphofructokinase 1; phosphofructokinase, liver; phosphofructokinase, liver type; phosphofructokinase, liver, B-type; phosphohexokinase; phosphohexokinase {ECO:0000255 | |
Rabbit | |
Affinity chromatography | |
RUO | |
18641, 25741, 5211 | |
-20°C | |
Liquid |
Immunohistochemistry (Paraffin), Western Blot, Immunocytochemistry | |
1 mg/mL | |
PBS with 50% glycerol and 0.02% sodium azide; pH 7.4 | |
P12382, P17858, P30835 | |
PFKL | |
A synthesized peptide derived from human PFKL(Accession P17858), corresponding to amino acid residues P704-Y754. | |
100 μL | |
Primary | |
Human, Mouse, Rat | |
Antibody | |
IgG |
Safety and Handling
WARNING: Cancer - www.P65Warnings.ca.gov
Product Content Correction
Your input is important to us. Please complete this form to provide feedback related to the content on this product.
Product Title
Spot an opportunity for improvement?Share a Content Correction