Promotional price valid on web orders only. Your contract pricing may differ. Interested in signing up for a dedicated account number?
Learn More
Learn More
Invitrogen™ PFKP Polyclonal Antibody
Rabbit Polyclonal Antibody
Supplier: Invitrogen™ PA5119337
This item is not returnable.
View return policy
Description
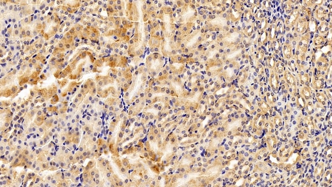
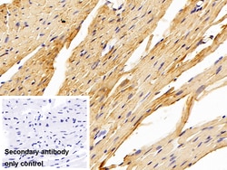
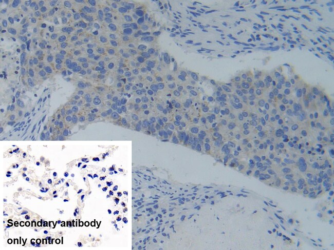
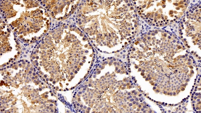
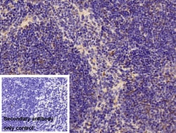
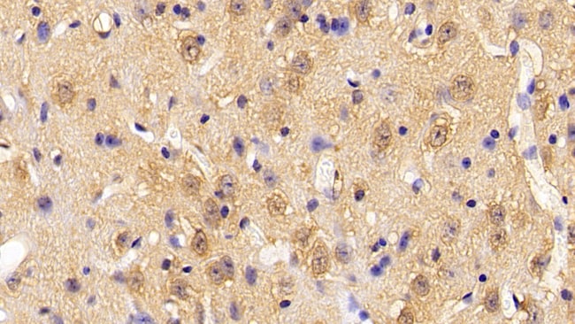
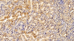
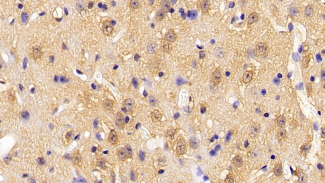
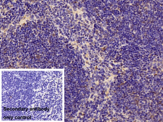
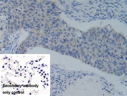
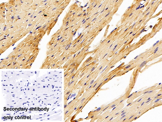
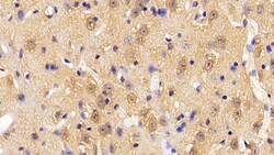
PFKP Polyclonal Antibody for Western Blot, ICC/IF, IHC (P), Flow
Protein kinases are enzymes that transfer a phosphate group from a phosphate donor, generally the g phosphate of ATP, onto an acceptor amino acid in a substrate protein. By this basic mechanism, protein kinases mediate most of the signal transduction in eukaryotic cells, regulating cellular metabolism, transcription, cell cycle progression, cytoskeletal rearrangement and cell movement, apoptosis, and differentiation. With more than 500 gene products, the protein kinase family is one of the largest families of proteins in eukaryotes. The family has been classified in 8 major groups based on sequence comparison of their tyrosine (PTK) or serine/threonine (STK) kinase catalytic domains. The AGC kinase group consists of 63 kinases including the cyclic nucleotide-regulated protein kinase (PKA & PKG) family, the diacylglycerol-activated/phospholipid-dependent protein kinase C (PKC) family, the related to PKA and PKC (RAC/Akt) protein kinase family, the kinases that phosphorylate G protein-coupled receptors family (ARK), and the kinases that phosphorylate ribosomal protein S6 family (RSK).
Specifications
PFKP | |
Polyclonal | |
Unconjugated | |
PFKP | |
1200015H23Rik; 6-phosphofructo-1-kinase, C-type; 6-phosphofructokinase type C; 6-phosphofructokinase, platelet type; 9330125N24Rik; ATP:D-fructose 6-phosphate 1-phosphotransferase; ATP-dependent 6-phosphofructokinase, platelet type; ATP-dependent 6-phosphofructokinase, platelet type {ECO:0000255; ATP-PFK; ATP-PFK {ECO:0000255; EC 2.7.1.11; HAMAP-Rule:MF_03184}; K6PP; PFK 1; PFK1; Pfkc; PFK-C; PFKF; PFKP; PFK-P; Phosphofructo-1-kinase isozyme C; Phosphofructokinase; phosphofructokinase 1; phosphofructokinase, platelet; Phosphofructokinase, platelet type; phosphohexokinase; phosphohexokinase {ECO:0000255 | |
Rabbit | |
Antigen affinity chromatography, Protein A | |
RUO | |
100521394, 5214 | |
Store at 4°C short term. For long term storage, store at -20°C, avoiding freeze/thaw cycles. | |
Liquid |
Flow Cytometry, Immunohistochemistry (Paraffin), Western Blot, Immunocytochemistry | |
0.5 mg/mL | |
PBS with 50% glycerol and 0.05% ProClin 300; pH 7.4 | |
Q01813 | |
PFKP | |
Recombinant protein Phosphofructokinase, Platelet. The antigen corresponds to amino acid range 553-753 of the target protein. | |
200 μL | |
Primary | |
Human, Pig | |
Antibody | |
IgG |
Product Content Correction
Your input is important to us. Please complete this form to provide feedback related to the content on this product.
Product Title
Spot an opportunity for improvement?Share a Content Correction