Promotional price valid on web orders only. Your contract pricing may differ. Interested in signing up for a dedicated account number?
Learn More
Learn More
Invitrogen™ PFTK2 Polyclonal Antibody

Rabbit Polyclonal Antibody
Supplier: Invitrogen™ PA553383
Description
Immunogen sequence: PRSLHVVWNR LGRVPEAEDL ASQMLKGFPR DRVSAQEALV HDYFSALPSQ LYQLPDEESL FTVSGVRLKP EMCDLLASYQ KGHHPA Highest antigen sequence identity to the following orthologs: Mouse - 85%, Rat - 86%.
Protein kinases are enzymes that transfer a phosphate group from a phosphate donor, generally the g phosphate of ATP, onto an acceptor amino acid in a substrate protein. By this basic mechanism, protein kinases mediate most of the signal transduction in eukaryotic cells, regulating cellular metabolism, transcription, cell cycle progression, cytoskeletal rearrangement and cell movement, apoptosis, and differentiation. With more than 500 gene products, the protein kinase family is one of the largest families of proteins in eukaryotes. The family has been classified in 8 major groups based on sequence comparison of their tyrosine (PTK) or serine/threonine (STK) kinase catalytic domains. The STE group (homologs of yeast Sterile 7, 11, 20 kinases) consists of 50 kinases related to the mitogen-activated protein kinase (MAPK) cascade families (Ste7/MAP2K, Ste11/MAP3K, and Ste20/MAP4K). MAP kinase cascades, consisting of a MAPK and one or more upstream regulatory kinases (MAPKKs) have been best characterized in the yeast pheromone response pathway. Pheromones bind to Ste cell surface receptors and activate yeast MAPK pathway.
Specifications
PFTK2 | |
Polyclonal | |
Unconjugated | |
CDK15 | |
ALS2CR7; amyotrophic lateral sclerosis 2 (juvenile) chromosome region, candidate 7; amyotrophic lateral sclerosis 2 chromosomal region candidate gene 7 protein; Amyotrophic lateral sclerosis 2 chromosomal region candidate gene 7 protein homolog; Cdk15; Cell division protein kinase 15; cyclin dependent kinase 15; cyclin-dependent kinase 15; frizzled family receptor 7; Fzd7; PFTAIRE protein kinase 2; PFTAIRE2; PFTK2; serine/threonine protein kinase; serine/threonine-protein kinase ALS2CR7; Serine/threonine-protein kinase PFTAIRE-2 | |
Rabbit | |
Antigen affinity chromatography | |
RUO | |
65061 | |
Store at 4°C short term. For long term storage, store at -20°C, avoiding freeze/thaw cycles. | |
Liquid |
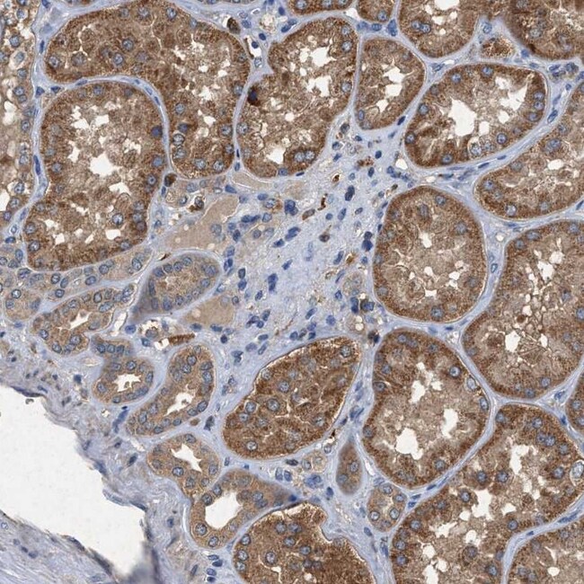
Immunohistochemistry (Paraffin), Immunocytochemistry | |
0.1 mg/mL | |
PBS with 40% glycerol and 0.02% sodium azide; pH 7.2 | |
Q96Q40 | |
CDK15 | |
Recombinant protein corresponding to Human PFTK2. Recombinant protein control fragment (Product #RP-91449). | |
100 μL | |
Primary | |
Human | |
Antibody | |
IgG |
Product Content Correction
Your input is important to us. Please complete this form to provide feedback related to the content on this product.
Product Title
Spot an opportunity for improvement?Share a Content Correction