Promotional price valid on web orders only. Your contract pricing may differ. Interested in signing up for a dedicated account number?
Learn More
Learn More
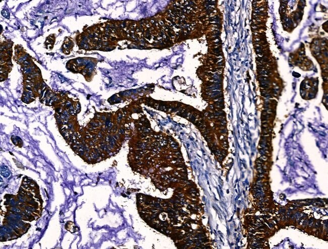
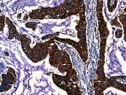
Invitrogen™ PGAM2 Polyclonal Antibody

Rabbit Polyclonal Antibody
Supplier: Invitrogen™ PA5115744
Description
Antibody detects endogenous levels of total PGAM2.
Phosphoglycerate mutase (PGAM) catalyzes the reversible reaction of 3-phosphoglycerate (3-PGA) to 2-phosphoglycerate (2-PGA) in the glycolytic pathway. The PGAM is a dimeric enzyme containing, in different tissues, different proportions of a slow-migrating muscle (MM) isozyme, a fast-migrating brain (BB) isozyme, and a hybrid form (MB). PGAM2 encodes muscle-specific PGAM subunit. Mutations in this gene cause muscle phosphoglycerate mutase efficiency, also known as glycogen storage disease X.
Specifications
PGAM2 | |
Polyclonal | |
Unconjugated | |
Pgam2 | |
BPG-dependent PGAM 2; D14Mgh1; EGK_13739; GSD10; Muscle-specific phosphoglycerate mutase; Pgam2; PGAMM; PGAM-M; Pgmut; Phosphoglycerate mutase 2; phosphoglycerate mutase 2 (muscle); phosphoglycerate mutase isozyme M; phosphoglycerate mutase muscle-specific subunit | |
Rabbit | |
Affinity chromatography | |
RUO | |
24959, 5224, 56012 | |
-20°C | |
Liquid |
Immunohistochemistry (Paraffin), Western Blot | |
1 mg/mL | |
PBS with 50% glycerol and 0.02% sodium azide | |
O70250, P15259, P16290 | |
Pgam2 | |
A synthesized peptide derived from human PGAM2(Accession P15259), corresponding to amino acid residues P124-Q174. | |
100 μL | |
Primary | |
Human, Mouse, Rat | |
Antibody | |
IgG |
Safety and Handling
WARNING: Cancer - www.P65Warnings.ca.gov
Product Content Correction
Your input is important to us. Please complete this form to provide feedback related to the content on this product.
Product Title
Spot an opportunity for improvement?Share a Content Correction