Learn More
Invitrogen™ PGAM5 Polyclonal Antibody

Description
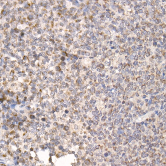
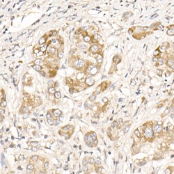
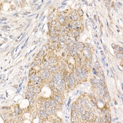
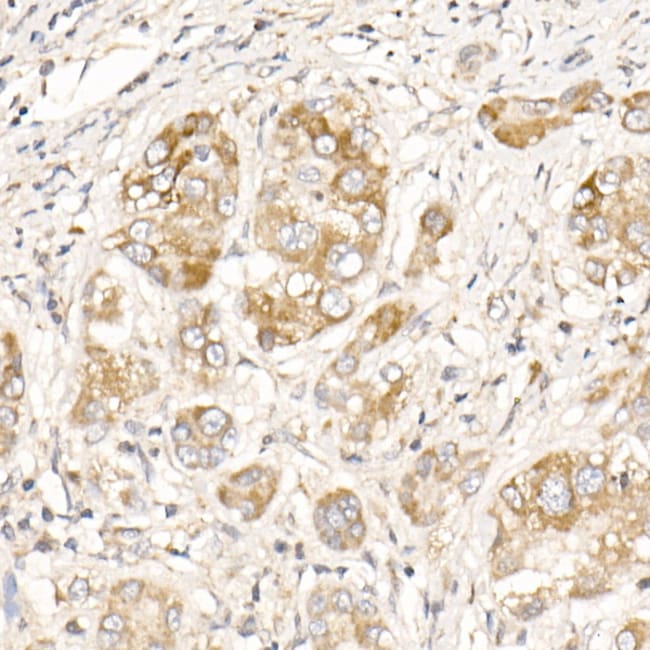
Positive Samples: Mouse brain, Rat liver, Rat testis Immunogen sequence: GARPGPGVWD PNWDRREPLS LINVRKRNVE SGEEELASKL DHYKAKATRH IFLIRHSQYH VDGSLEKDRT LTPLGREQAE LTGLRLASLG LKFNKIV.
Specifications
Specifications
| Antigen | PGAM5 |
| Applications | ELISA, Immunohistochemistry (Paraffin), Western Blot, Immunocytochemistry |
| Classification | Polyclonal |
| Concentration | 1.53 mg/mL |
| Conjugate | Unconjugated |
| Formulation | PBS with 50% glycerol and 0.05% ProClin 300; pH 7.3 |
| Gene | PGAM5 |
| Gene Accession No. | Q562B5, Q8BX10, Q96HS1 |
| Gene Alias | 2610528A17Rik; Bcl-XL-binding protein v68; BXLBV68; PGAM family member 5, mitochondrial serine/threonine protein phosphatase; PGAM family member 5, serine/threonine protein phosphatase, mitochondrial; PGAM5; Phosphoglycerate mutase family member 5; RGD1312028; serine/threonine-protein phosphatase PGAM5, mitochondrial |
| Gene Symbols | PGAM5 |
| Show More |
By clicking Submit, you acknowledge that you may be contacted by Fisher Scientific in regards to the feedback you have provided in this form. We will not share your information for any other purposes. All contact information provided shall also be maintained in accordance with our Privacy Policy.