Promotional price valid on web orders only. Your contract pricing may differ. Interested in signing up for a dedicated account number?
Learn More
Learn More
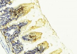
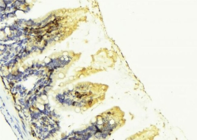
Invitrogen™ PGF Polyclonal Antibody

Rabbit Polyclonal Antibody
Supplier: Invitrogen™ PA5106889
Description
Antibody detects endogenous levels of total PGF.
Placental growth factor (PlGF) is a member of the vascular endothelial growth factor (VEGF) family. PlGF is a pleiotropic factor affects different cell types and regulates various biological responses. The activity of vascular endothelial growth factor (VEGF), which is the most potent of all angiogenic mediators, is partly modulated by PlGF. It plays a major role in vasculogenesis and angiogenesis in human placenta.
Specifications
| PGF | |
| Polyclonal | |
| Unconjugated | |
| PGF | |
| AI854365; D12S1900; PGF; PGFL; PIGF; Placenta growth factor; placental growth factor; placental growth factor, vascular endothelial growth factor-related protein; Plgf; PlGF 1; PlGF-2; SHGC; SHGC-10760 | |
| Rabbit | |
| Affinity chromatography | |
| RUO | |
| 18654, 5228, 94203 | |
| -20°C | |
| Liquid |
| Immunohistochemistry (Paraffin), Western Blot, Immunocytochemistry | |
| 1 mg/mL | |
| PBS with 50% glycerol and 0.02% sodium azide; pH 7.4 | |
| P49763, P49764, Q63434 | |
| PGF | |
| A synthesized peptide derived from human PGF(Accession P49763), corresponding to amino acid residues L81-R131. | |
| 100 μL | |
| Primary | |
| Human, Mouse, Rat | |
| Antibody | |
| IgG |
Product Content Correction
Your input is important to us. Please complete this form to provide feedback related to the content on this product.
Product Title
Spot an opportunity for improvement?Share a Content Correction