Promotional price valid on web orders only. Your contract pricing may differ. Interested in signing up for a dedicated account number?
Learn More
Learn More
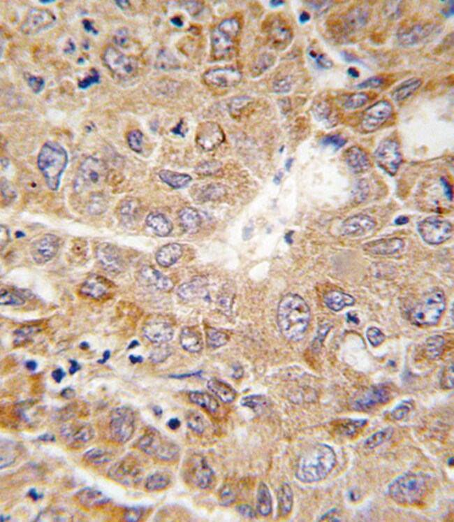
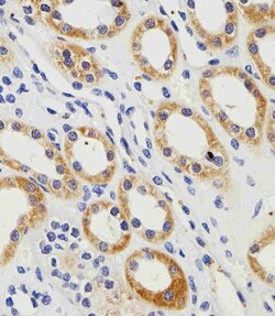
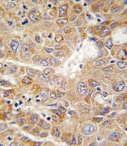
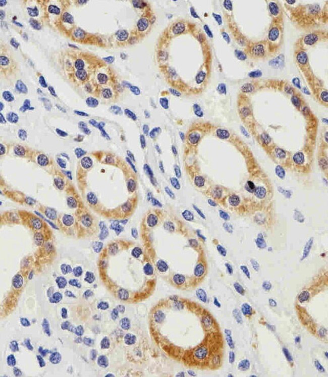
Invitrogen™ PGK1 Polyclonal Antibody

Rabbit Polyclonal Antibody
Supplier: Invitrogen™ PA513863
Description
This antibody is predicted to react with non-human primate and rat based on sequence homology.
Also known as ATP:3-phosphoglycerate 1-phosphotransferase showed that the plasmin reductase isolated from conditioned medium of fibrosarcoma cells is the glycolytic enzyme phosphoglycerate kinase. They concluded that phosphoglycerate kinase not only functions in glycolysis but is secreted by tumor cells and participates in the angiogenic process as a disulfide reductase.
Specifications
| PGK1 | |
| Polyclonal | |
| Unconjugated | |
| PGK1 | |
| cell migration-inducing gene 10 protein; epididymis secretory sperm binding protein Li 68p; HEL-S-68p; MIG10; OK/SW-cl.110; Pgk; Pgk1; Pgk-1; PGKA; Phosphoglycerate kinase; phosphoglycerate kinase 1; Primer recognition protein 2; PRP 2; YCR012W; YCR12W | |
| Rabbit | |
| Ammonium Sulfate Precipitation, Size-exclusion - Dialysis | |
| RUO | |
| 5230 | |
| Store at 4°C short term. For long term storage, store at -20°C, avoiding freeze/thaw cycles. | |
| Liquid |
| Flow Cytometry, Immunohistochemistry (Paraffin), Western Blot, Immunocytochemistry | |
| 2 mg/mL | |
| PBS with 0.09% sodium azide; pH 7.4 | |
| P00558 | |
| PGK1 | |
| KLH conjugated synthetic peptide between 117-145 amino acids from the central region of human PGK1. | |
| 400 μL | |
| Primary | |
| Human | |
| Antibody | |
| IgG |
Product Content Correction
Your input is important to us. Please complete this form to provide feedback related to the content on this product.
Product Title
Spot an opportunity for improvement?Share a Content Correction