Promotional price valid on web orders only. Your contract pricing may differ. Interested in signing up for a dedicated account number?
Learn More
Learn More
Invitrogen™ PHF11 Polyclonal Antibody

Rabbit Polyclonal Antibody
Supplier: Invitrogen™ PA5119961
This item is not returnable.
View return policy
Description
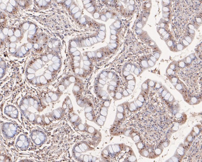
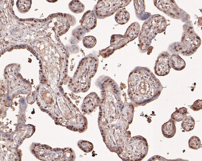
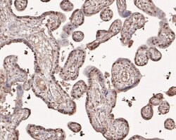
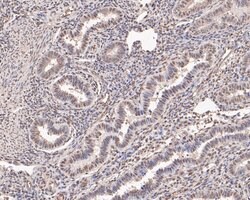
Positive Control: Raji cell lysate, Jurkat cell lysate, mouse testis tissue lysates, human placenta tissue, human small intestine tissue, human uterus tissue. Subcellular Location: Nucleus.
PHF11 contains two PHD zinc fingers and probably regulates transcription. Distinctive splice variants were expressed in immune tissues and cells.
Specifications
| PHF11 | |
| Polyclonal | |
| Unconjugated | |
| PHF11 | |
| 4933417L10Rik; APY; atopic; BCAP; BRCA1 C-terminus-associated protein; BRCA1-C terminus associated protein; D14Ertd668e; IgE responsiveness; IgE responsiveness (atopic); IGEL; IGER; IGHER; MGC137849 protein; NYREN34; NY-REN-34; NY-REN-34 antigen; PHD finger protein 11; PHD finger protein 11 family member; PHD finger protein 11A; PHD finger protein 11D; PHD finger protein 11-like; Phf11; Phf11-4; Phf11a; Phf11d; Phf11l; Renal carcinoma antigen NY-REN-34; RP11-185C18.3 | |
| Rabbit | |
| Affinity chromatography | |
| RUO | |
| 219131, 219132, 51131 | |
| Store at 4°C short term. For long term storage, store at -20°C, avoiding freeze/thaw cycles. | |
| Liquid |
| Flow Cytometry, Immunohistochemistry (Paraffin), Western Blot, Immunocytochemistry | |
| 1 mg/mL | |
| TBS with 0.2% BSA, 50% glycerol and 0.05% sodium azide; pH 7.4 | |
| A6H5X4, Q8BVM9, Q9UIL8 | |
| PHF11, Phf11a, Phf11d | |
| Recombinant protein within human PHF11 aa 132-331/331. | |
| 100 μL | |
| Primary | |
| Human, Mouse | |
| Antibody | |
| IgG |
Safety and Handling
WARNING: Cancer - www.P65Warnings.ca.gov
Product Content Correction
Your input is important to us. Please complete this form to provide feedback related to the content on this product.
Product Title
Spot an opportunity for improvement?Share a Content Correction