Promotional price valid on web orders only. Your contract pricing may differ. Interested in signing up for a dedicated account number?
Learn More
Learn More
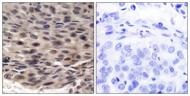
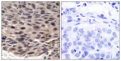
Phospho-4EBP1 (Thr37) Polyclonal Antibody

Phospho-4EBP1 (Thr37) Polyclonal Antibody
Supplier: Thermo Scientific PA537556
Description
Phospho-4EBP1 (Thr37) Polyclonal Antibody for Western Blot, IHC (P)

Specifications
Phospho-4EBP1 (Thr37) | |
Polyclonal | |
Unconjugated | |
EIF4EBP1 | |
4EBP1; 4E-BP1; AA959816; BP-1; eIF4E-binding protein 1; EIF4EBP1; eukaryotic translation initiation factor 4E binding protein 1; eukaryotic translation initiation factor 4E-binding protein 1; MGC431; MGC4316; P/OKCL.6; PHAS-1; PHAS-I; Phosphorylated heat- and acid-stable protein regulated by insulin 1 | |
Rabbit | |
Affinity Chromatography | |
RUO | |
116636, 13685, 1978 | |
-20°C | |
Liquid |
Immunohistochemistry (Paraffin), Western Blot | |
1 mg/mL | |
PBS with 50% glycerol and 0.02% sodium azide; pH 7.4 | |
Q13541, Q60876, Q62622 | |
EIF4EBP1 | |
Peptide sequence around phosphorylation site of threonine 37(S-T-T(p)-P-G) derived from Human 4E-BP1. | |
100 μL | |
Primary | |
Human, Mouse, Rat | |
Antibody | |
IgG |
Product Content Correction
Your input is important to us. Please complete this form to provide feedback related to the content on this product.
Product Title
Spot an opportunity for improvement?Share a Content Correction