Promotional price valid on web orders only. Your contract pricing may differ. Interested in signing up for a dedicated account number?
Learn More

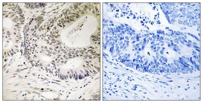
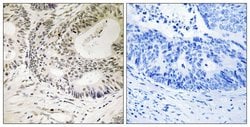
Phospho-53BP1 (Ser25) Polyclonal Antibody, Invitrogen™

Rabbit Polyclonal Antibody

Supplier:  Thermo Scientific PA538465

Catalog No. PIPA538465


Description

Description

53BP1 (P53-binding protein 1) plays a critical role in tumor suppression and is a putative substrate of ATM kinase. Upon DNA damage, 53BP1 is phosphorylated and localizes to the presumptive sites of damage, specifically, double-strand breaks. 53BP1 may have a role in checkpoint signaling during mitosis, enhances TP53-mediated transcriptional activation, and participates in DNA repair by maintaining genomic stability.
TRUSTED_SUSTAINABILITY
Specifications

Specifications

Phospho-53BP1 (Ser25)
Polyclonal
Unconjugated
TP53BP1
p202, p53-binding protein 1, tumor protein 53-binding protein, tumor suppressor p53-binding protein 1
Rabbit
Antigen affinity chromatography
RUO
27223, 296099, 7158
-20°C
Liquid
Peptide ELISA, Immunofluorescence, Immunohistochemistry (Paraffin)
1 mg/mL
Dulbecco′s PBS with 150mM NaCl, 50% glycerol and 0.02% sodium azide; pH 7.4
Q12888, P70399
TP53BP1, Trp53bp1
A synthetic phosphopeptide derived from human 53BP1 around the phosphorylation site of Ser25 (E-D-SP-Q-P)
100 μg
Primary
Human, Mouse, Rat
Antibody
IgG
Product Suggestions

Product Suggestions

Videos
Safety and Handling

Safety and Handling

WARNING: Cancer - www.P65Warnings.ca.gov
SDS
Documents

Documents

Product Certifications
Promotions

Promotions

Product Content Correction

Your input is important to us. Please complete this form to provide feedback related to the content on this product.

Product Title

By clicking Submit, you acknowledge that you may be contacted by Fisher Scientific in regards to the feedback you have provided in this form. We will not share your information for any other purposes. All contact information provided shall also be maintained in accordance with our Privacy Policy.

Your feedback has been submitted: Thank you for helping us improve our website.