Promotional price valid on web orders only. Your contract pricing may differ. Interested in signing up for a dedicated account number?
Learn More
Learn More
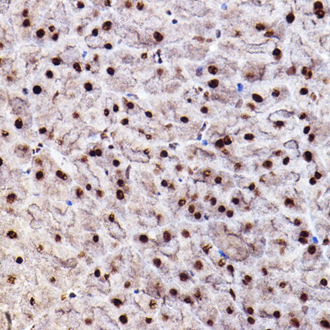
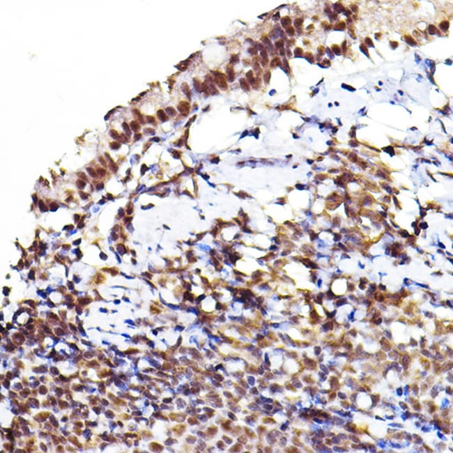
Invitrogen™ Phospho-AKT1/AKT2/AKT3 (Ser473) Polyclonal Antibody

Rabbit Polyclonal Antibody
Supplier: Invitrogen™ PA5110107
Description
Immunogen sequence: QFSYS.
AKT also known as protein kinase B (PKB) or RAS-alpha, is an ubiquitous serine/threonine kinase that plays an important role in diverse biological responses such as regulation of metabolism, cell survival and growth by phosphorylating multiple proteins. This protein kinase is activated by insulin, PI3K, IGF1 and various other growth and survival factors. Akt promotes cell survival by inhibiting apoptosis through phosphorylation and inactivation of several targets, including forkhead transcription factors, and caspase-9. The AKT pathway is a major target for cancer drug discovery.
Specifications
| Phospho-AKT1/AKT2/AKT3 (Ser473) | |
| Polyclonal | |
| Unconjugated | |
| AKT1 | |
| 2410016A19Rik; AI851531; akt; Akt kinase; AKT serine/threonine kinase 1; AKT serine/threonine kinase 2; AKT serine/threonine kinase 3; Akt/PKB; Akt1; AKT1 kinase; AKT1m; Akt1m protein; Akt1-PA; Akt1-PB; Akt1-PC; Akt1-PD; Akt1-PE; Akt2; AKT2 kinase; AKT3; AKT3 kinase; akt3a; AW554154; bovine protein kinase B; cb945; CG4006; CG4006-PA; CG4006-PB; CG4006-PC; CG4006-PD; CG4006-PE; CWS6; D930002M15Rik; DAKT; D-Akt; dAkt kinase; dAKT/dPKB; dAkt/PKB; DAKT1; DAKT1/PKB; DKFZp434N0250; Dmel\CG4006; Dmel_CG4006; DPKB; DRAC-PK; DRAC-PK66; DRAC-PK85; HIHGHH; kinase Akt1; l(3)04226; l(3)89Bq; MGC99656; MPPH; MPPH2; murine thymoma viral (v-akt) homolog-2; murine thymoma viral (v-akt) oncogene homolog 1; murine thymoma viral (v-akt) oncogene homolog 2; Nmf350; pAkt; P-AKT; pan akt; PKB; PKB alpha; PKB beta; PKB gamma; PKB/Akt; PKB/dAKT; PKBalpha; PKB-ALPHA; PKBB; PKBbeta; Pkbg; PKBgamma; PKB-GAMMA; PRKBA; PRKBB; PRKBG; Protein kinase Akt-2; protein kinase Akt-3; Protein kinase B; protein kinase B alpha; Protein kinase B beta; protein kinase B gamma; protein kinase B, beta; protein kinase B, gamma; protein kinase B-alpha; protein kinase; AKT1; proto-oncogene c-AKT; putative v-akt murine thymoma viral oncoprotein 2; RAC; rac protein kinase alpha; RAC protein kinase alpha RAC-PK alpha; rac protein kinase beta; RAC protein kinase beta RAC-PK beta; RAC serine/threonine protein kinase; RAC serine/threonine-protein kinase; RAC-ALPHA; RAC-alpha serine/threonine-protein kinase; RAC-BETA; RAC-beta serine/threonine protein kinase; RAC-beta serine/threonine-protein kinase; RAC-gamma; RAC-gamma serine/threonine protein kinase; RAC-gamma serine/threonine-protein kinase; RacPK; RAC-PK-alpha; RAC-PK-beta; RAC-PK-gamma; related to A and C kinases; related to PKA to PKC protein kinases; related to the A and C kinases; SD10374p; serine/threonine protein kinase; serine-threonine protein kinase; si:ch211-221n23.2; STK-2; Thymoma viral proto-oncogene; thymoma viral proto-oncogene 1; thymoma viral proto-oncogene 2; thymoma viral proto-oncogene 3; v-akt murine thymoma viral oncogene 3; v-akt murine thymoma viral oncogene homolog 1; v-akt murine thymoma viral oncogene homolog 2; v-akt murine thymoma viral oncogene homolog 3; v-akt murine thymoma viral oncogene homolog 3 (protein kinase B, gamma); v-akt murine thymoma viral oncogene homolog 3a; v-akt murine thymoma viral oncogene-like 1; v-akt murine thymoma viral oncogene-like 3; v-akt murine thymoma viral oncogene-like protein 1 | |
| Rabbit | |
| Affinity Chromatography | |
| RUO | |
| 10000, 11651, 11652, 207, 208, 23797, 24185, 25233, 29414 | |
| -20°C, Avoid Freeze/Thaw Cycles | |
| Liquid |
| ELISA, Immunohistochemistry (Paraffin), Western Blot | |
| 1.08 mg/mL | |
| PBS with 50% glycerol and 0.05% ProClin 300; pH 7.3 | |
| P31749, P31750, P31751, P47196, P47197, Q60823, Q63484, Q9WUA6, Q9Y243 | |
| AKT1, Akt2, Akt3 | |
| A synthetic phosphorylated peptide around S473 of human AKT1/AKT2/AKT3AKT1 (NP_0051542). | |
| 100 μL | |
| Primary | |
| Human, Mouse, Rat | |
| Antibody | |
| IgG |
Safety and Handling
WARNING: Cancer - www.P65Warnings.ca.gov
Product Content Correction
Your input is important to us. Please complete this form to provide feedback related to the content on this product.
Product Title
Spot an opportunity for improvement?Share a Content Correction