Promotional price valid on web orders only. Your contract pricing may differ. Interested in signing up for a dedicated account number?
Learn More
Learn More
Invitrogen™ Phospho-AKT2 (Ser474) Polyclonal Antibody

Rabbit Polyclonal Antibody
Supplier: Invitrogen™ PA5119813
This item is not returnable.
View return policy
Description
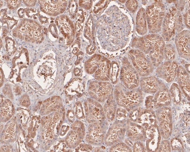
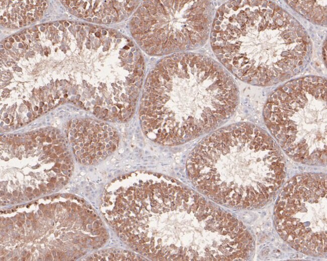
Positive Control: Hela treated with Calyculin A whole cell lysate, Hela treated with insulin whole cell lysate, human kidney tissue, mouse testis tissue. Subcellular Location: Cell membrane, Nucleus, Early endosome, Cytoplasm.
AKT2 is a phosphoinositide-dependent serine/threonine protein kinase that is enriched in insulin responsive tissues and has been implicated in the metabolic actions of the hormone. Akt is involved in many cellular signaling pathways and acts as a transducer of many functions initiated by growth factor receptors that activate phosphatidylinositol 3-kinase (PI 3-kinase). Akt2 is amplified and overexpressed in some human cancers.
Specifications
| Phospho-AKT2 (Ser474) | |
| Polyclonal | |
| Unconjugated | |
| Akt2 | |
| 2410016A19Rik; AKT serine/threonine kinase 2; Akt2; AKT2 kinase; AW554154; HIHGHH; murine thymoma viral (v-akt) homolog-2; murine thymoma viral (v-akt) oncogene homolog 2; PKB; PKB beta; PKBB; PKBBETA; PRKBB; protein kinase Akt-2; Protein kinase B beta; protein kinase B, beta; putative v-akt murine thymoma viral oncoprotein 2; rac protein kinase beta; RAC protein kinase beta RAC-PK beta; RAC-BETA; RAC-beta serine/threonine protein kinase; RAC-beta serine/threonine-protein kinase; RAC-PK-beta; thymoma viral proto-oncogene 2; v-akt murine thymoma viral oncogene homolog 2 | |
| Rabbit | |
| Affinity Chromatography | |
| RUO | |
| 11652, 208 | |
| Store at 4°C short term. For long term storage, store at -20°C, avoiding freeze/thaw cycles. | |
| Liquid |
| Immunohistochemistry (Paraffin), Western Blot | |
| 1 mg/mL | |
| TBS with 0.2% BSA, 50% glycerol and 0.05% sodium azide; pH 7.4 | |
| P31751, Q60823 | |
| Akt2 | |
| Synthetic peptide within human AKT2 aa 450-481(phospho S474). | |
| 100 μL | |
| Primary | |
| Human, Mouse | |
| Antibody | |
| IgG |
Product Content Correction
Your input is important to us. Please complete this form to provide feedback related to the content on this product.
Product Title
Spot an opportunity for improvement?Share a Content Correction