Learn More
Invitrogen™ Phospho-ATF2 (Thr53, Thr71) Polyclonal Antibody

Description
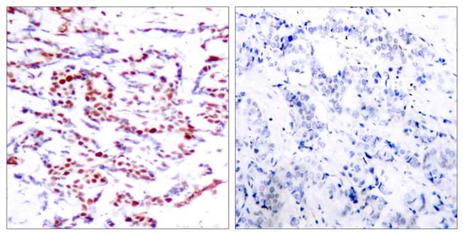
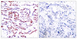
A suggested positive control for Western blot is HUVEC cells; suggested positive control for IHC is human breast carcinoma.
Specifications
Specifications
| Antigen | Phospho-ATF2 (Thr53, Thr71) |
| Applications | Immunohistochemistry (Paraffin), Western Blot |
| Classification | Polyclonal |
| Concentration | 1 mg/mL |
| Conjugate | Unconjugated |
| Formulation | PBS with 50% glycerol and 0.02% sodium azide; pH 7.4 |
| Gene | Atf2 |
| Gene Accession No. | P15336, P16951, Q00969 |
| Gene Alias | Activating 2; Activating transcription factor 2; activating transcription factor 2 splice variant ATF2-var2; ATF2; Atf-2; cAMP response element-binding protein CRE-BP1; cAMP responsive element binding protein 2, formerly; cAMP-dependent transcription factor ATF-2; CREB2; CREB-2; CRE-BP; CREBP1; CRE-BP1; Cyclic AMP-dependent transcription factor ATF-2; cyclic AMP-responsive element-binding protein 2; D130078H02Rik; D18875; HB16; Histone acetyltransferase ATF2; MGC111558; mXBP; MXBP protein; OTTHUMP00000205345; OTTHUMP00000205347; OTTHUMP00000205348; OTTHUMP00000205350; OTTHUMP00000205352; OTTHUMP00000205353; OTTHUMP00000205354; Tg(Gzma-Klra1)7Wum; TREB7 |
| Gene Symbols | Atf2 |
| Show More |
By clicking Submit, you acknowledge that you may be contacted by Fisher Scientific in regards to the feedback you have provided in this form. We will not share your information for any other purposes. All contact information provided shall also be maintained in accordance with our Privacy Policy.