Promotional price valid on web orders only. Your contract pricing may differ. Interested in signing up for a dedicated account number?
Learn More
Learn More
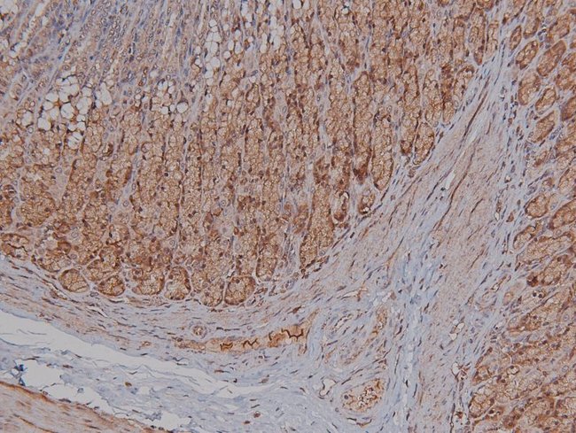
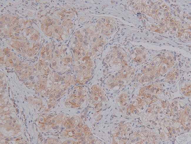
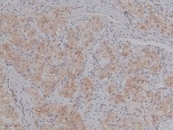
Invitrogen™ Phospho-BACE1 (Ser498) Polyclonal Antibody

Rabbit Polyclonal Antibody
Supplier: Invitrogen™ PA5105747
Description
Antibody detects endogenous levels of BACE only when phosphorylated at Ser498.
BACE1 (beta-secretase) is a key enzyme involved in the production of amyloid beta-peptides (Abeta) found in extracellular amyloid plaques of Alzheimer's disease (AD). In some cases early onset familial AD can be attributed to a Swedish mutation in the amyloid precursor protein (APP), which dramatically enhances the cleavage of this protein by BACE1. This and other genetic and pathological evidence has led to therapeutic approaches that have focused on the inhibition of BACE1 and other APP-cleaving enzymes, such as gamma-secretase stuff. APP is first cleaved by b-secretase, producing a soluble derivative of the protein and a membrane anchored 99-amino acid carboxy-terminal fragment (C99). The C99 fragment serves as substrate for g-secretase to generate the 4 kDa amyloid-b peptide, which is deposited in the brains of all sufferers of Alzheimer's disease. The long-sought b-secretase was recently identified by several groups independently and designated beta-site APP cleaving enzyme (BACE) and aspartyl protease 2 (Asp2). bACE/Asp2 is a novel transmembrane aspartic protease and colocalizes with APP.
Specifications
| Phospho-BACE1 (Ser498) | |
| Polyclonal | |
| Unconjugated | |
| BACE1 | |
| APP beta-secretase; asp 2; ASP2; Aspartyl protease 2; BACE; BACE 1; BACE1; BACE-1D; BACE-I-432; Beta secretase; Beta-secretase 1; beta-secretase 1 precursor variant 1; beta-site amyloid beta A4 precursor protein-cleaving enzyme; beta-site amyloid precursor protein cleaving enzyme 1; Beta-site APP cleaving enzyme 1; beta-site APP-cleaving enzyme 1; C76936; HSPC104; hypothetical protein LOC403005; KIAA1149; Memapsin; Memapsin2; Memapsin-2; membrane-associated aspartic protease 2; protease; transmembrane aspartic proteinase Asp2; zgc:77409 | |
| Rabbit | |
| Sequential chromatography | |
| RUO | |
| 23621, 23821, 29392 | |
| -20°C | |
| Liquid |
| Immunohistochemistry (Paraffin), Western Blot | |
| 1 mg/mL | |
| PBS with 50% glycerol and 0.02% sodium azide; pH 7.4 | |
| P56817, P56818, P56819 | |
| BACE1 | |
| A synthesized peptide derived from human BACE1(Accession P56817), corresponding to amino acid residues around phosphorylated Ser498. | |
| 100 μL | |
| Primary | |
| Human, Mouse, Rat | |
| Antibody | |
| IgG |
Product Content Correction
Your input is important to us. Please complete this form to provide feedback related to the content on this product.
Product Title
Spot an opportunity for improvement?Share a Content Correction