Promotional price valid on web orders only. Your contract pricing may differ. Interested in signing up for a dedicated account number?
Learn More
Learn More
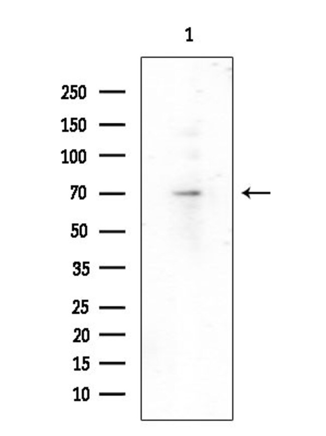
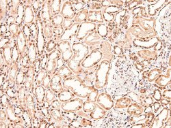
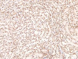
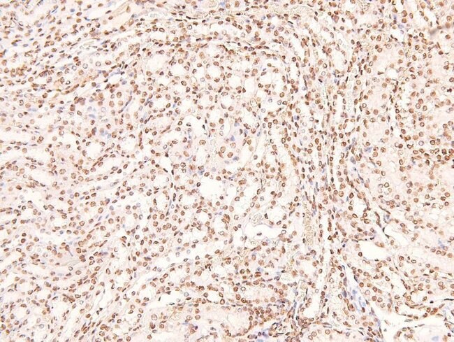
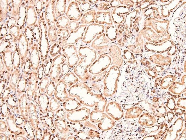
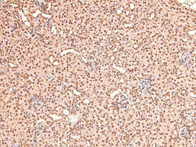
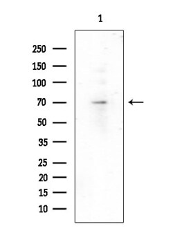
Invitrogen™ Phospho-BAG3 (Tyr457) Polyclonal Antibody

Rabbit Polyclonal Antibody
Supplier: Invitrogen™ PA5105968
Description
Antibody detects endogenous levels of BAG3 only when phosphorylated at Tyr457.
BAG3 are among BAG proteins that compete with Hip for binding to the Hsc70/Hsp70 ATPase domain and promote substrate release. All the BAG proteins have an approximately 45-amino acid BAG domain near the C terminus but differ markedly in their N-terminal regions. The protein encoded by this gene contains a WW domain in the N-terminal region and a BAG domain in the C-terminal region. The BAG domains of BAG1, BAG2, and BAG3 interact specifically with the Hsc70 ATPase domain in vitro and in mammalian cells. All 3 proteins bind with high affinity to the ATPase domain of Hsc70 and inhibit its chaperone activity in a Hip-repressible manner.
Specifications
| Phospho-BAG3 (Tyr457) | |
| Polyclonal | |
| Unconjugated | |
| BAG3 | |
| AA407278; BAG family molecular chaperone regulator 3; BAG3; BAG-3; BCL2 associated athanogene 3; Bcl-2-associated athanogene 3; Bcl2-associated athanogene 3; BCL2-binding athanogene 3; bcl-2-binding protein Bis; Bcl-2-interacting death suppressor; BIS; CAIR-1; DKFZp434E0610; docking protein CAIR-1; MFM6; mg638; MGC104307; MNCb-2243 | |
| Rabbit | |
| Sequential Chromatography | |
| RUO | |
| 293524, 29810, 9531 | |
| -20°C | |
| Liquid |
| Immunohistochemistry (Paraffin), Western Blot | |
| 1 mg/mL | |
| PBS with 50% glycerol and 0.02% sodium azide; pH 7.4 | |
| O95817, Q9JLV1 | |
| BAG3 | |
| A synthesized peptide derived from human BAG3(Accession O95817), corresponding to amino acid residues around phosphorylated Tyr457. | |
| 100 μL | |
| Primary | |
| Human, Mouse, Rat | |
| Antibody | |
| IgG |
Safety and Handling
WARNING: Cancer - www.P65Warnings.ca.gov
Product Content Correction
Your input is important to us. Please complete this form to provide feedback related to the content on this product.
Product Title
Spot an opportunity for improvement?Share a Content Correction