Promotional price valid on web orders only. Your contract pricing may differ. Interested in signing up for a dedicated account number?
Learn More
Learn More
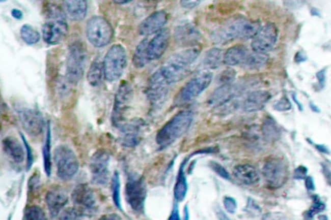
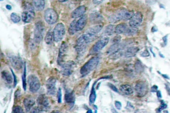
Invitrogen™ Phospho-beta Catenin (Ser33) Polyclonal Antibody

Rabbit Polyclonal Antibody
Supplier: Invitrogen™ PA536826
Description
This antibody detects endogenous protein at a molecular weight of 92 kDa. Purity is >95% by SDS-PAGE.
Beta-catenin, an adherens junction (AJ) protein, was originally identified as a component of cell-cell adhesion structures. AJs are necessary for the creation and maintenance of epithelial cell layers by regulating cell growth and adhesion between cells. Beta-catenin interacts with the cytoplasmic domain of E-cadherin and links E-cadherin to alpha-catenin, which in turn mediates anchorage of the E-cadherin complex to the cortical actin cytoskeleton. Studies show that Beta-catenin also binds to another cytoskeletal complex containing the adenomatous polyposis coli protein and microtubules, and interacts with several signaling pathways that include tyrosine kinases, phosphatases and Wnt/Wingless. The interplay between beta-catenin, cytoskeletal complexes and signaling pathways may regulate morphogenesis. Beta-catenin is expressed in several hair follicle cell types, basal and peripheral matrix cells, and cells of the outer and inner root sheats. A pathological role of beta-catenin has been identified in pilomatrixoma (PTR), medulloblastoma (MDB), colorectal cancer (CRC), ovarian cancer, and tumor development. In the nucleus, beta-catenin serves to co activate a family of Lef/Tcf transcription factors that stimulate transcription of target genes including those encoding cyclin D and c-myc that promote cell proliferation. The influence on cell proliferation is the molecular basis for the role of beta-catenin in tumorgenesis, specifically, solid tumors of the breast, colon, liver, lung, gastric, prostate, and skin.
Specifications
| Phospho-beta Catenin (Ser33) | |
| Polyclonal | |
| Unconjugated | |
| CTNNB1 | |
| armadillo; armadillo homolog; Bcatenin; b-catenin; beta 1 88kDa; beta catenin; Betacatenin; beta-catenin; beta-catenin 1; Bfc; C20orf33; Cadherin associated protein; catenin; catenin (cadherin associated protein), beta 1; catenin (cadherin associated protein), beta 1, 88kDa; catenin (cadherin-associated protein) beta 1; catenin (cadherin-associated protein), beta 1; catenin (cadherin-associated protein), beta 1, 88kDa; Catenin b 1; Catenin b1; catenin beta; catenin beta 1; catenin beta 1 L homeolog; Catenin beta1; Catenin beta-1; Catenin ß 1; Catenin ß1; Catnb; CHBCAT; CTNB1; CTNNB; ctnnb1; ctnnb1.L; ctnnb1-a; ctnnb1-b; dJ633O20.1; DKFZp686D02253; FLJ25606; FLJ37923; id:ibd2058; Mesc; MRD19; NAP; NYD-SP19; OK/SW-cl.35; OTTHUMP00000209289; P14L; PP8304; PRO2286; RP5-1118M15.1; wu:fb73e10; wu:fi81c06; wu:fk25h01; XELAEV_18031149mg; ß catenin; ßcatenin | |
| Rabbit | |
| Antigen Affinity Chromatography | |
| RUO | |
| 12387, 1499, 84353 | |
| Store at 4°C short term. For long term storage, store at -20°C, avoiding freeze/thaw cycles. | |
| Liquid |
| Immunohistochemistry (Paraffin), Western Blot, Immunocytochemistry | |
| 1 mg/mL | |
| PBS with 0.05% sodium azide; pH 7.2 | |
| P35222, Q02248, Q9WU82 | |
| CTNNB1 | |
| Synthetic phosphopeptide derived from human Catenin-beta around the phosphorylation site of Serine 33. | |
| 100 μL | |
| Primary | |
| Human, Mouse, Rat | |
| Antibody | |
| IgG |
Safety and Handling
WARNING: Cancer - www.P65Warnings.ca.gov
Product Content Correction
Your input is important to us. Please complete this form to provide feedback related to the content on this product.
Product Title
Spot an opportunity for improvement?Share a Content Correction