Promotional price valid on web orders only. Your contract pricing may differ. Interested in signing up for a dedicated account number?
Learn More
Learn More
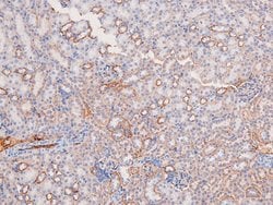
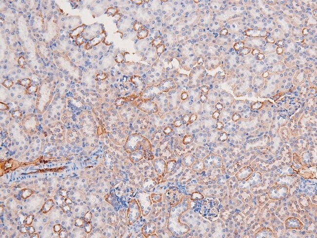
Invitrogen™ Phospho-BRK (Tyr342) Polyclonal Antibody

Rabbit Polyclonal Antibody
Supplier: Invitrogen™ PA5105867
Description
Antibody detects endogenous levels of BRK only when phosphorylated at Tyr342.
Breast tumor kinase (Brk) is a non-receptor protein tyrosine kinase expressed in over 60% of breast carcinoma tissue samples and breast tumor cell lines. Brk is 80% identity to Sik (Src-related intestinal kinase) and exhibits the features of a novel non-receptor tyrosine kinase, including amino terminal SH3 and SH2 domains. Low levels of Brk transcripts have been identified in some human breast tumor cell lines but not in normal breast tissue.
Specifications
| Phospho-BRK (Tyr342) | |
| Polyclonal | |
| Unconjugated | |
| PTK6 | |
| ALT-PTK6; breast tumor kinase; BRK; deltam5; FLJ42088; protein tyrosine kinase 6; protein-tyrosine kinase 6; protein-tyrosine kinase BRK; Ptk6; PTK6 protein tyrosine kinase 6; Sik; SRC-related intestinal kinase; tks; Tksk; tyrosine kinase identified from skin; tyrosine-protein kinase BRK | |
| Rabbit | |
| sequential chromatography | |
| RUO | |
| 20459, 366275, 5753 | |
| -20°C | |
| Liquid |
| Immunohistochemistry (Paraffin), Western Blot, Immunocytochemistry | |
| 1 mg/mL | |
| PBS with 50% glycerol and 0.02% sodium azide; pH 7.4 | |
| Q13882, Q64434 | |
| PTK6 | |
| A synthesized peptide derived from human PTK6(Accession Q13882), corresponding to amino acid residues around phosphorylated Tyr342. | |
| 100 μL | |
| Primary | |
| Human, Mouse, Rat | |
| Antibody | |
| IgG |
Product Content Correction
Your input is important to us. Please complete this form to provide feedback related to the content on this product.
Product Title
Spot an opportunity for improvement?Share a Content Correction