Promotional price valid on web orders only. Your contract pricing may differ. Interested in signing up for a dedicated account number?
Learn More
Learn More
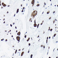
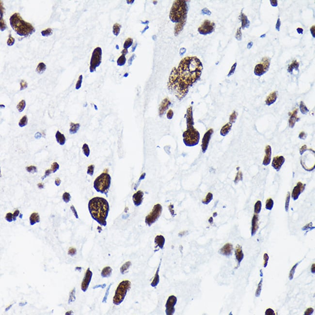
Invitrogen™ Phospho-c-Jun (Thr91) Polyclonal Antibody

Rabbit Polyclonal Antibody
Supplier: Invitrogen™ PA5117274
Description
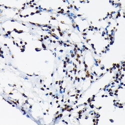
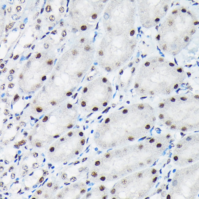
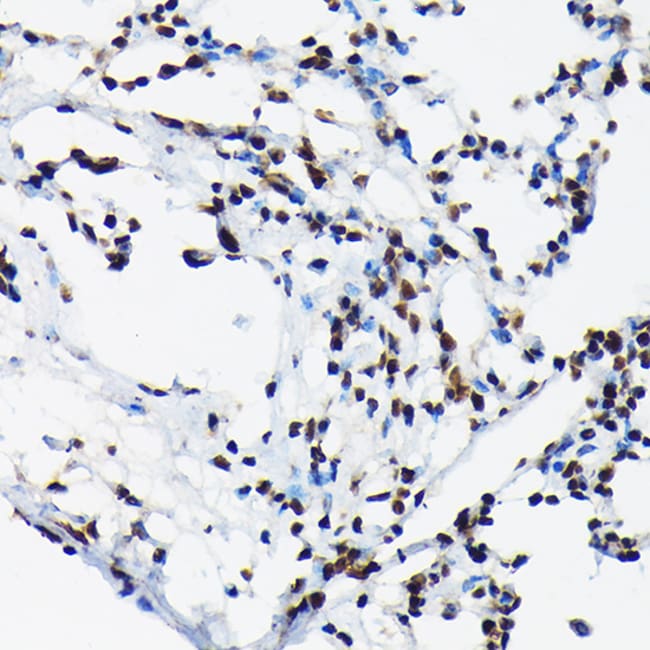
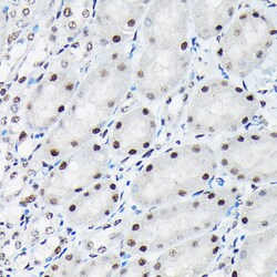
Positive Samples: 293T, NIH/3T3 Immunogen sequence: TTTPT.
c-Jun is a transcription factor that recognizes and binds to the enhancer heptamer motif 5'-TGA[CG]TCA-3'. It promotes activity of NR5A1 when phosphorylated by HIPK3 leading to increased steroidogenic gene expression upon cAMP signaling pathway stimulation. Involved in activated KRAS-mediated transcriptional activation of USP28 in colorectal cancer (CRC) cells.
Specifications
Phospho-c-Jun (Thr91) | |
Polyclonal | |
Unconjugated | |
JUN | |
Activator protein 1; AH119; AP1; AP-1; Avian sarcoma virus 17 (v-jun) oncogene homolog; cjun; c-Jun; c-jun transcription factor; enhancer-binding protein AP1; I79_009953; immediate early; JUN; Jun A; Jun activation domain binding protein; Jun oncogene; jun proto-oncogene; Jun proto-oncogene, AP-1 transcription factor subunit; Junc; JUND; p39; proto-oncogene c-Jun; Rjg-9; transcription factor; transcription factor AP-1; V-jun avian sarcoma virus 17 oncogene homolog; v-jun sarcoma virus 17 oncogene homolog | |
Rabbit | |
Affinity chromatography | |
RUO | |
16476, 24516, 3725 | |
-20°C, Avoid Freeze/Thaw Cycles | |
Liquid |
ELISA, Immunohistochemistry (Paraffin), Western Blot, Immunocytochemistry | |
0.492 mg/mL | |
PBS with 50% glycerol and 0.01% thimerosal; pH 7.3 | |
P05412, P05627, P17325 | |
JUN | |
A synthetic phosphorylated peptide around T91 of human JUN (NP_0022191). | |
100 μL | |
Primary | |
Human, Mouse, Rat | |
Antibody | |
IgG |
Product Content Correction
Your input is important to us. Please complete this form to provide feedback related to the content on this product.
Product Title
Spot an opportunity for improvement?Share a Content Correction