Promotional price valid on web orders only. Your contract pricing may differ. Interested in signing up for a dedicated account number?
Learn More
Learn More
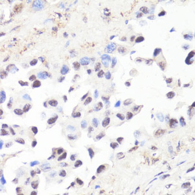
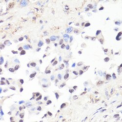
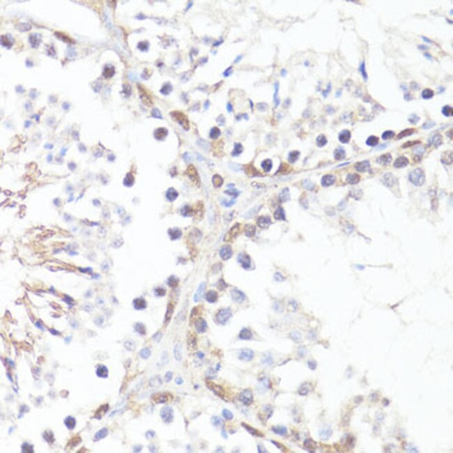
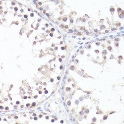
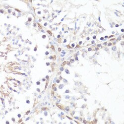
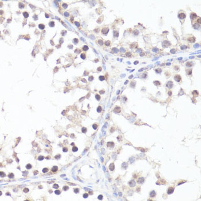
Invitrogen™ Phospho-c-Myc (Thr58) Polyclonal Antibody

Rabbit Polyclonal Antibody
Supplier: Invitrogen™ PA5117177
Description
Positive Samples: 293T Immunogen sequence: LPTPP.
The c-Myc protein is a 62 kDa transcription factor that is encoded by the c-Myc gene on human chromosome 8q24. c-Myc is commonly activated in a variety of tumor cells and plays an important role in cellular proliferation, differentiation, apoptosis and cell cycle progression. The phosphorylation of c-Myc has been investigated and previous studies have suggested a functional association between phosphorylation at Thr58/Ser62 by glycogen synthase kinase 3, cyclin dependent kinase, ERK2 and C-Jun N terminal Kinase (JNK) in cell proliferation and cell cycle regulation. Studies have shown that c-Myc is essential for vasculogenesis and angiogenesis in tumor development, which distributes blood throughout the cells. The c-myc oncogene (p62 c-myc) is involved in the control of normal cellular proliferation and differentiation, and the deregulated expression of c-Myc induces apoptosis in different cell types. Antibodies against c-myc epitopes recognize overexpressed proteins containing Myc epitope tag fused to either amino- or carboxy-termini of targeted proteins. c-Myc-, N-Myc- and L-Myc-encoded proteins function in cell proliferation, differentiation and neoplastic disease. Amplification of the c-Myc gene has been found in several types of human tumors including lung, breast and colon carcinomas, while the N-Myc gene has been found amplified in neuroblastomas. Translocation of the c-myc locus on chromosome 8 to the immunoglobulin loci on chromosome 14 (heavy chain); 2 (delta light chain); or 22 (light chain) is described in Burkitts lymphoma and other B-cell lymphoproliferative conditions. An aberrant expression of the c-myc gene occurs in tumors of different origins such as colorectal, gastric, gallbladder, hepatic, mammary, ovarian, endometrial, head and neck, pulmonary, prostatic, thyroidal, oral, ocular, nasopharyngeal, endocrine, as well as hematopoietic neoplasms.
Specifications
Phospho-c-Myc (Thr58) | |
Polyclonal | |
Unconjugated | |
MYC | |
AU016757; Avian myelocytomatosis viral (v-myc) oncogene homolog; avian myelocytomatosis viral oncogene homolog; bHLHe39; c Myc; class E basic helix-loop-helix protein 39; cmyc; c-Myc; c-myc epitope tag; c-myc proto-oncogene; mMyc; MRTL; Myc; Myc protein; Myc proto-oncogene protein; MYC proto-oncogene, bHLH transcription factor; Myc2; MYCC; myc-related translation/localization regulatory factor; myelocytomatosis oncogene; myelocytomatosis viral oncogene homolog; Niard; Nird; Proto-oncogene c-Myc; RNCMYC; Transcription factor p64; v-myc avian myelocytomatosis viral oncogene homolog; v-myc myelocytomatosis viral oncogene homolog; v-myc myelocytomatosis viral oncogene-like protein | |
Rabbit | |
Affinity chromatography | |
RUO | |
17869, 24577, 4609 | |
-20°C, Avoid Freeze/Thaw Cycles | |
Liquid |
ELISA, Immunohistochemistry (Paraffin), Western Blot | |
1.01 mg/mL | |
PBS with 50% glycerol and 0.09% sodium azide; pH 7.3 | |
P01106, P01108, P09416 | |
MYC | |
A synthetic phosphorylated peptide around T58 of mouse MYC (NP_0011708231). | |
100 μL | |
Primary | |
Human, Mouse, Rat | |
Antibody | |
IgG |
Safety and Handling
WARNING: Cancer - www.P65Warnings.ca.gov
Product Content Correction
Your input is important to us. Please complete this form to provide feedback related to the content on this product.
Product Title
Spot an opportunity for improvement?Share a Content Correction