Promotional price valid on web orders only. Your contract pricing may differ. Interested in signing up for a dedicated account number?
Learn More
Learn More
Invitrogen™ Phospho-CAD (Thr456) Polyclonal Antibody

Rabbit Polyclonal Antibody
Supplier: Invitrogen™ PA537502
Description
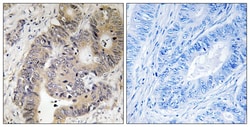
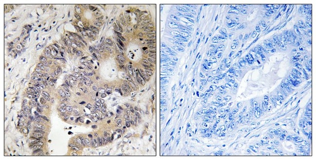
A suggested positive control for IHC is human colon carcinoma.
The de novo synthesis of pyrimidine nucleotides is required for mammalian cells to proliferate. This gene encodes a trifunctional protein which is associated with the enzymatic activities of the first 3 enzymes in the 6-step pathway of pyrimidine biosynthesis: carbamoylphosphate synthetase (CPS II), aspartate transcarbamoylase, and dihydroorotase. This protein is regulated by the mitogen-activated protein kinase (MAPK) cascade, which indicates a direct link between activation of the MAPK cascade and de novo biosynthesis of pyrimidine nucleotides.
Specifications
Phospho-CAD (Thr456) | |
Polyclonal | |
Unconjugated | |
CAD | |
2410008J01Rik; 38E.19; anon-WO2004063362.83; Aspartate carbamoyltransferase; AU018859; cad; CAD protein; CAD trifunctional protein; cad-PA; cad-PB; cad-PC; carbamoyl-phosphate synthetase 2, aspartate transcarbamylase, and dihydroorotase; carbamoylphosphate synthetase 2/aspartate transcarbamylase/dihydroorotase; carbamyl phosphatate synthetase 2; caudal; cb456; cd; CDG1Z; CG1759; CG1759-PA; CG1759-PB; CG1759-PC; Cpad; Dihydroorotase; Dmel\CG1759; Dmel_CG1759; Glutamine-dependent carbamoyl-phosphate synthase; Homeotic protein caudal; LD29596p; multifunctional protein CAD; S67; si:dkey-221h15.3; wu:fc30c12; wu:fc33d01; wu:fc67g02 | |
Rabbit | |
Affinity chromatography | |
RUO | |
790 | |
-20°C | |
Liquid |
Immunohistochemistry (Paraffin) | |
1 mg/mL | |
PBS with 50% glycerol and 0.02% sodium azide; pH 7.4 | |
P27708 | |
CAD | |
Peptide sequence around phosphorylation site of threonine 456 (P-I-T(p)-P-H) derived from Human CAD. | |
100 μL | |
Primary | |
Human | |
Antibody | |
IgG |
Product Content Correction
Your input is important to us. Please complete this form to provide feedback related to the content on this product.
Product Title
Spot an opportunity for improvement?Share a Content Correction