Promotional price valid on web orders only. Your contract pricing may differ. Interested in signing up for a dedicated account number?
Learn More
Learn More
Invitrogen™ Phospho-CaMKII alpha/delta (Thr286) Polyclonal Antibody

Rabbit Polyclonal Antibody
Supplier: Invitrogen™ PA5105043
Description
Antibody detects endogenous levels of CaMK2 alpha/delta only when phosphorylated at Threonine 286.
The Ca2+/calmodulin-dependent protein kinases (CaM kinases) comprise a structurally related subfamily of serine/threonine kinases which include CaMKI, CaMKII and CaMKIV. CaMKII is an ubiquitously expressed serine/threonine protein kinase that is activated by Ca2+ and calmodulin (CaM) and has been implicated in regulation of the cell cycle and transcription. There are four CaMKII isozymes, designated alpha, beta, gamma and delta, which may or may not be co-expressed in the same tissue type. CaMKII alpha is autophosphorylated on Thr 286 upon the binding of the Ca2+/CaM complex to the autoinhibitory domain of CaMKII. This process is called Ca2+/CaM trapping, which is thought to be involved in the synaptic encoding of information.
Specifications
| Phospho-CaMKII alpha/delta (Thr286) | |
| Polyclonal | |
| Unconjugated | |
| CAMK2D | |
| [d]-CaMKII; 2810011D23Rik; 8030469K03Rik; alpha CaM kinase II; alpha-CaMKII; Ca++/calmodulin-dependent protein kinase 2 delta subunit; Ca++/calmodulin-dependent protein kinase II delta subunit; Ca++/calmodulin-dependent protein kinase II, delta subunit; Ca2+/calmodulin-dependent protein kinase II alpha; calcium/calmodulin dependent protein kinase II alpha; calcium/calmodulin dependent protein kinase II delta; calcium/calmodulin-dependent protein kinase (CaM kinase) II alpha; calcium/calmodulin-dependent protein kinase (CaM kinase) II delta; calcium/calmodulin-dependent protein kinase II alpha; calcium/calmodulin-dependent protein kinase II alpha subunit; calcium/calmodulin-dependent protein kinase II alpha-B subunit; calcium/calmodulin-dependent protein kinase II delta; calcium/calmodulin-dependent protein kinase II, delta; calcium/calmodulin-dependent protein kinase type II alpha chain; calcium/calmodulin-dependent protein kinase type II delta chain; calcium/calmodulin-dependent protein kinase type II subunit alpha; Calcium/calmodulin-dependent protein kinase type II subunit delta; CaM kinase II alpha subunit; CaM kinase II delta subunit; caM kinase II subunit alpha; CaM kinase II subunit delta; CaMK II; CAMK1; Camk2; CaMK2 delta; CaMK-2 delta; CaMK2- delta; Camk2a; CaMK-2a; CaMK2-a; CAMK2D; CAMKA; CAMKD; Camki; CaMKII; CaMK-II alpha subunit; CaMK-II delta subunit; caMK-II subunit alpha; caMK-II subunit delta; CaMKIINalpha; caM-kinase II alpha chain; CaM-kinase II delta chain; KIAA0968; Kiaa4163; mKIAA0968; PK2CDD; PKCCD; R74975; RATCAMKI | |
| Rabbit | |
| sequential chromatography | |
| RUO | |
| 108058, 12322, 24246, 25400, 815, 817 | |
| -20°C | |
| Liquid |
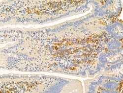
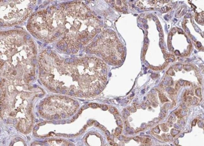
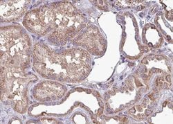
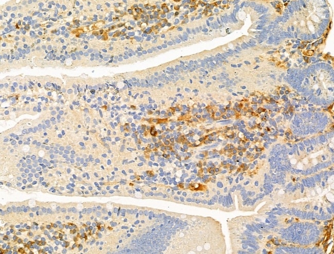
| Immunohistochemistry (Paraffin), Western Blot, Immunocytochemistry | |
| 1 mg/mL | |
| PBS with 50% glycerol and 0.02% sodium azide; pH 7.4 | |
| P11275, P11798, P15791, Q13557, Q6PHZ2, Q9UQM7 | |
| CAMK2A, CAMK2D | |
| A synthesized peptide derived from human CAMK2A(Accession Q9UQM7), corresponding to amino acid residues around phosphorylated Thr286. | |
| 100 μL | |
| Primary | |
| Human, Mouse, Rat | |
| Antibody | |
| IgG |
Safety and Handling
WARNING: Cancer - www.P65Warnings.ca.gov
Product Content Correction
Your input is important to us. Please complete this form to provide feedback related to the content on this product.
Product Title
Spot an opportunity for improvement?Share a Content Correction