Promotional price valid on web orders only. Your contract pricing may differ. Interested in signing up for a dedicated account number?
Learn More
Learn More
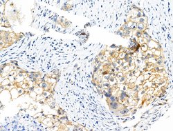
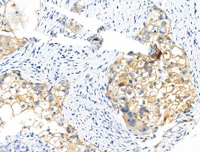
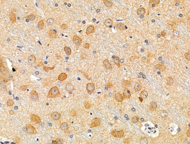
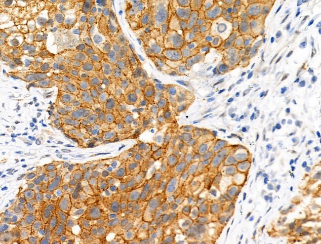
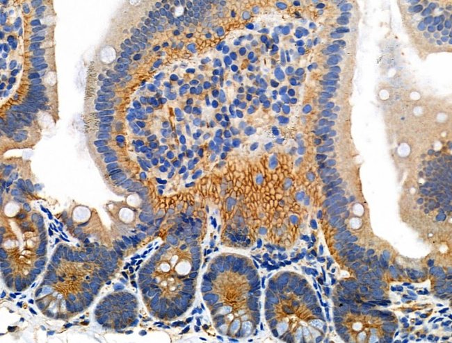
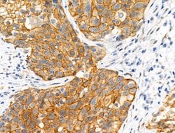
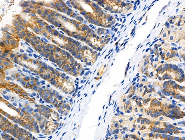
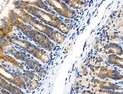
Invitrogen™ Phospho-Catenin alpha-1 (Ser655, Thr658) Polyclonal Antibody

Rabbit Polyclonal Antibody
Supplier: Invitrogen™ PA5114549
Description
Antibody detects endogenous levels of alpha 1 Catenin only when phosphorylated at Ser655/Thr658.
Associates with the cytoplasmic domain of a variety of cadherins. The association of catenins to cadherins produces a complex which is linked to the actin filament network, and which seems to be of primary importance for cadherins cell-adhesion properties. Can associate with both E- and N-cadherins. Originally believed to be a stable component of E-cadherin/catenin adhesion complexes and to mediate the linkage of cadherins to the actin cytoskeleton at adherens junctions. In contrast, cortical actin was found to be much more dynamic than E-cadherin/catenin complexes and CTNNA1 was shown not to bind to F-actin when assembled in the complex suggesting a different linkage between actin and adherence junctions components. The homodimeric form may regulate actin filament assembly and inhibit actin branching by competing with the Arp2/3 complex for binding to actin filaments. May play a crucial role in cell differentiation.
Specifications
Phospho-Catenin alpha-1 (Ser655, Thr658) | |
Polyclonal | |
Unconjugated | |
CTNNA1 | |
[a]E-catenin; 102 kDa cadherin-associated protein; 2010010M04Rik; AA517462; AI988031; alpha E catenin; alpha E-catenin; alpha(E)-catenin; alpha-E-catenin; cadherin associated protein; Cadherin-associated protein; CAP102; catenin (cadherin associated protein), alpha 1; catenin (cadherin-associated protein), alpha; catenin (cadherin-associated protein), alpha 1; catenin (cadherin-associated protein), alpha 1, 102kDa; catenin alpha 1; catenin alpha 1 S homeolog; catenin alpha-1; catenin, alpha 1; Catna1; cell-adhesion protein alphaE catenin; ctnna; ctnna1; ctnna1.S; MDPT2; Renal carcinoma antigen NY-REN-13; XELAEV_18020018mg | |
Rabbit | |
Sequential chromatography | |
RUO | |
12385, 1495, 307505 | |
-20°C | |
Liquid |
Immunohistochemistry (Paraffin), Western Blot | |
1 mg/mL | |
PBS with 50% glycerol and 0.02% sodium azide | |
P26231, P35221 | |
CTNNA1 | |
A synthesized peptide derived from human alpha 1 Catenin around the phosphorylation site of Ser655/Thr658. | |
100 μL | |
Primary | |
Human, Mouse, Rat | |
Antibody | |
IgG |
Safety and Handling
WARNING: Cancer - www.P65Warnings.ca.gov
Product Content Correction
Your input is important to us. Please complete this form to provide feedback related to the content on this product.
Product Title
Spot an opportunity for improvement?Share a Content Correction