Promotional price valid on web orders only. Your contract pricing may differ. Interested in signing up for a dedicated account number?
Learn More
Learn More
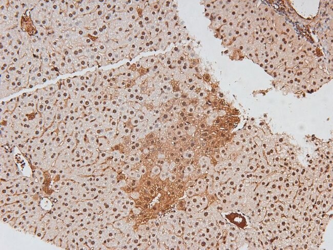
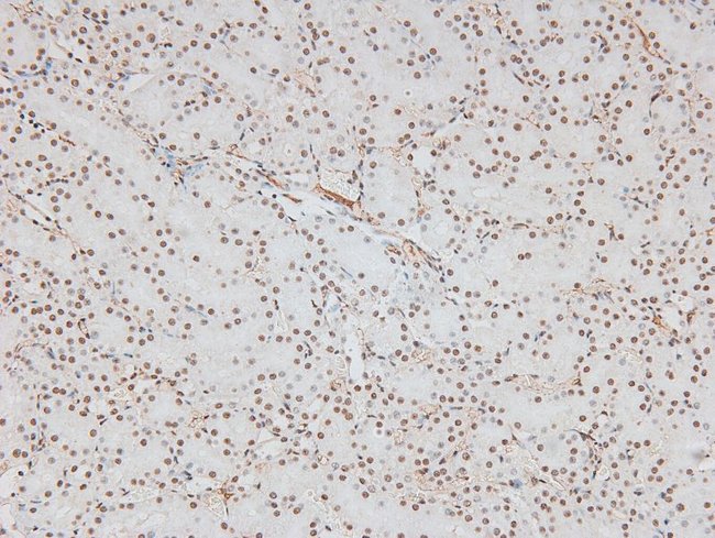
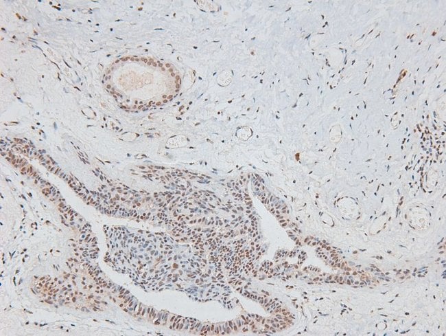
Invitrogen™ Phospho-CD150 (Tyr327) Polyclonal Antibody

Rabbit Polyclonal Antibody
Supplier: Invitrogen™ PA5105781
Description
Antibody detects endogenous levels of SLAM / CD150 only when phosphorylated at Tyr327.
CD150, also known as SLAM (Signaling Lymphocyte Activation Molecule), is a member of the immunoglobulin gene superfamily and plays a crucial role in T cell stimulation and immune cell interactions. It is constitutively expressed on peripheral blood memory T cells, T cell clones, immature thymocytes, and a proportion of B cells. CD150 expression is rapidly upregulated upon activation, particularly on naive T cells, Th1 cells, and activated B cells, which express the membrane-bound, soluble, and cytoplasmic isoforms of SLAM. In T cells, signaling through SLAM induces proliferation and enhances the interferon-gamma response. SLAM is also involved in adhesion between T cells and antigen-presenting cells, facilitating immune cell interactions. Homophilic SLAM-SLAM binding during B to B and B to T cell interactions is suggested to enhance the expansion and differentiation of activated B cells. CD150 serves as a receptor for the measles virus and acts as a co-activator on T and B cells. It interacts with SH2D1A and PTPN11 via its cytoplasmic domain, playing a role in signal transduction. Mutations in the CD150 gene may be associated with X-linked lymphoproliferative disease (XLP), highlighting its importance in immune regulation and disease pathology.
Specifications
| Phospho-CD150 (Tyr327) | |
| Polyclonal | |
| Unconjugated | |
| Slamf1 | |
| 4933415F16; AA177906; CD150; CD150 antigen; CDw150; ESTM51; IPO-3; RGD1560634; signaling lymphocyte activation molecule; signaling lymphocytic activation molecule; signaling lymphocytic activation molecule family member 1; Slam; SLAM family member 1; Slamf1 | |
| Rabbit | |
| Sequential chromatography | |
| RUO | |
| 27218, 498286, 6504 | |
| -20°C | |
| Liquid |
| Immunohistochemistry (Paraffin), Western Blot | |
| 1 mg/mL | |
| PBS with 50% glycerol and 0.02% sodium azide; pH 7.4 | |
| Q13291, Q9QUM4 | |
| Slamf1 | |
| A synthesized peptide derived from human SLAMF1(Accession Q13291), corresponding to amino acid residues around phosphorylated Tyr327. | |
| 100 μL | |
| Primary | |
| Human, Mouse, Rat | |
| Antibody | |
| IgG |
Safety and Handling
WARNING: Cancer - www.P65Warnings.ca.gov
Product Content Correction
Your input is important to us. Please complete this form to provide feedback related to the content on this product.
Product Title
Spot an opportunity for improvement?Share a Content Correction