Promotional price valid on web orders only. Your contract pricing may differ. Interested in signing up for a dedicated account number?
Learn More
Learn More
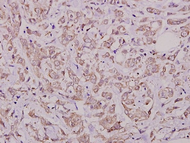
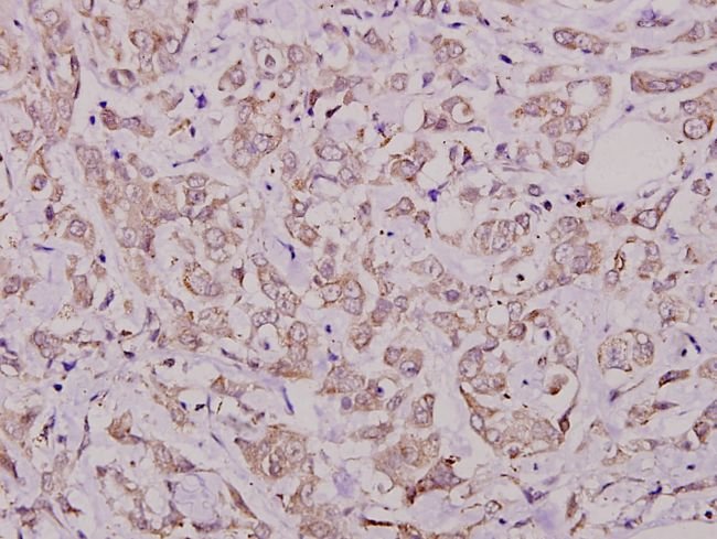
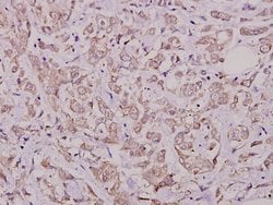
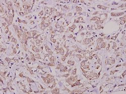
Invitrogen™ Phospho-Cdc25A (Ser76) Polyclonal Antibody

Rabbit Polyclonal Antibody
Supplier: Invitrogen™ PA536711
Description
This antibody detects endogenous protein at a molecular weight of 59 and 70 kDa. Purity is >95% by SDS-PAGE.
CDC25a is a member of the CDC25 family of phosphatases. Three CDC25 genes are present in human cells: CDC25A, CDC25B, and CDC25C. These three genes function at different phases of the cell cycle. CDC25a is required for progression through G1 and S phases of the cell cycle. CDC25a activates the cyclin-dependent kinase CDC2 by removing two phosphate groups. CDC25A is specifically degraded in response to DNA damage, which prevents cells with chromosomal abnormalities from progressing through cell division. CDC25A is an oncogene, although its exact role in oncogenesis has not been demonstrated.
Specifications
| Phospho-Cdc25A (Ser76) | |
| Polyclonal | |
| Unconjugated | |
| CDC25A | |
| CDC25 isoform A1-CAG; CDC25A; CDC25A2; CDC25A2-CAG isoform; Cdc25m3; cell division cycle 25A; D9Ertd393e; dual specificity phosphatase Cdc25A; EC 3.1.3.48; M-phase inducer phosphatase 1; MPIP1 | |
| Rabbit | |
| Antigen affinity chromatography | |
| RUO | |
| 12530, 171102, 993 | |
| Store at 4°C short term. For long term storage, store at -20°C, avoiding freeze/thaw cycles. | |
| Liquid |
| Immunohistochemistry (Paraffin), Western Blot | |
| 1 mg/mL | |
| PBS with 50% glycerol and 0.02% sodium azide; pH 7.2 | |
| P30304, P48964, P48965 | |
| CDC25A | |
| Synthetic phosphopeptide derived from human Cdc25A around the phosphorylation site of Serine 76. | |
| 100 μL | |
| Primary | |
| Human, Mouse, Rat | |
| Antibody | |
| IgG |
Product Content Correction
Your input is important to us. Please complete this form to provide feedback related to the content on this product.
Product Title
Spot an opportunity for improvement?Share a Content Correction