Promotional price valid on web orders only. Your contract pricing may differ. Interested in signing up for a dedicated account number?
Learn More
Learn More
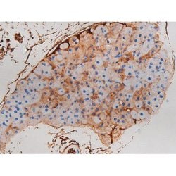
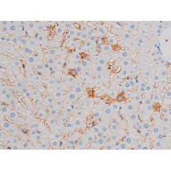
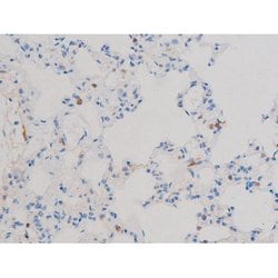
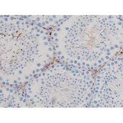
Invitrogen™ Phospho-CDC25B (Ser323) Polyclonal Antibody

Rabbit Polyclonal Antibody
Supplier: Invitrogen™ PA5104864
Description
Antibody detects endogenous levels of CDC25B only when phosphorylated at Serine 323.
Tyrosine protein phosphatase which functions as a dosage-dependent inducer of mitotic progression. Required for G2/M phases of the cell cycle progression and abscission during cytokinesis in a ECT2-dependent manner. Directly dephosphorylates CDK1 and stimulates its kinase activity. The three isoforms seem to have a different level of activity.
Specifications
| Phospho-CDC25B (Ser323) | |
| Polyclonal | |
| Unconjugated | |
| CDC25B | |
| AI604853; CDC25B; CDC25HU2; Cdc25m2; cell division cycle 25B; dual specificity phosphatase Cdc25B; EC 3.1.3.48; M-phase inducer phosphatase 2; MPIP2 | |
| Rabbit | |
| Sequential Chromatography | |
| RUO | |
| 12531, 171103, 994 | |
| -20°C | |
| Liquid |
| Immunohistochemistry (Paraffin), Western Blot, Immunocytochemistry | |
| 1 mg/mL | |
| PBS with 50% glycerol and 0.02% sodium azide; pH 7.4 | |
| P30305, P30306, P48966 | |
| CDC25B | |
| A synthesized peptide derived from human CDC25B(Accession P30305), corresponding to amino acid residues around phosphorylated Ser323. | |
| 100 μL | |
| Primary | |
| Human, Mouse, Rat | |
| Antibody | |
| IgG |
Safety and Handling
WARNING: Cancer - www.P65Warnings.ca.gov
Product Content Correction
Your input is important to us. Please complete this form to provide feedback related to the content on this product.
Product Title
Spot an opportunity for improvement?Share a Content Correction