Promotional price valid on web orders only. Your contract pricing may differ. Interested in signing up for a dedicated account number?
Learn More
Learn More
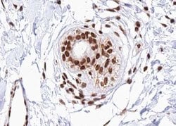
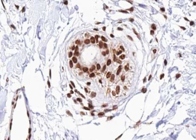
Invitrogen™ Phospho-CHOP (Ser30) Polyclonal Antibody

Rabbit Polyclonal Antibody
Supplier: Invitrogen™ PA5104879
Description
Antibody detects endogenous levels of DDIT3 only when phosphorylated at Serine 30.
GADD153 is a small nuclear protein that is capable of dimerizing with transcription factors C/EBP alpha and beta. Once dimerized, this complex inhibits the normal binding and function of C/EBP to classical binding sites. Inversely, the C/EBP GADD153 dimer gains binding activity to other non classical C/EBP stress related targets. Under normal cellular conditions this protein is not expressed in detectable levels, but is highly unregulated during times of cellular/ER stress. Examples of GADD153 inducing stress include: treatment with tunicamycin, nutrient starvation and reducing agents that interfere with the calcium flux across the ER membrane.
Specifications
| Phospho-CHOP (Ser30) | |
| Polyclonal | |
| Unconjugated | |
| DDIT3 | |
| C/EBP homologous protein; C/EBP homoologous protein 10; C/EBP zeta; C/EBP-homologous protein; C/EBP-homologous protein 10; CCAAT/enhancer-binding protein homologous protein; CEBPZ; CHOP; CHOP10; CHOP-10; Ddit3; DDIT-3; ddit3.L; DNA damage inducible transcript 3; DNA damage inducible transcript 3 L homeolog; DNA damage-inducible transcript 3 protein; DNA-damage inducible transcript 3; DNA-damage-inducible transcript 3; GADD153; growth arrest and DNA damage-inducible; growth arrest and DNA damage-inducible protein GADD153; Growth arrest and DNA-damage-inducible protein GADD153; MGC4154; transcription factor GADD153; Xchop; XELAEV_18013440mg | |
| Rabbit | |
| sequential chromatography | |
| RUO | |
| 13198, 1649, 29467 | |
| -20°C | |
| Liquid |
| Immunohistochemistry (Paraffin), Western Blot, Immunocytochemistry | |
| 1 mg/mL | |
| PBS with 50% glycerol and 0.02% sodium azide; pH 7.4 | |
| P35638, P35639, Q62857 | |
| DDIT3 | |
| A synthesized peptide derived from human DDIT3(Accession P35638), corresponding to amino acid residues around phosphorylated Ser30. | |
| 100 μL | |
| Primary | |
| Human, Mouse, Rat | |
| Antibody | |
| IgG |
Safety and Handling
WARNING: Cancer - www.P65Warnings.ca.gov
Product Content Correction
Your input is important to us. Please complete this form to provide feedback related to the content on this product.
Product Title
Spot an opportunity for improvement?Share a Content Correction