Learn More
Invitrogen™ Phospho-Connexin 43 (Ser368) Polyclonal Antibody

Description
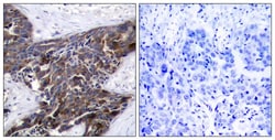
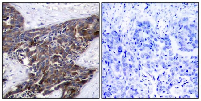
The antibody detects endogenous level of Connexin43 only when phosphorylated at serine 368. A suggested positive control for Western blot is 293 cells; suggested positive control for IHC is human breast carcinoma.
Specifications
Specifications
| Antigen | Phospho-Connexin 43 (Ser368) |
| Applications | Immunohistochemistry (Paraffin), Western Blot |
| Classification | Polyclonal |
| Concentration | 1 mg/mL |
| Conjugate | Unconjugated |
| Formulation | PBS with 50% glycerol and 0.02% sodium azide; pH 7.4 |
| Gene | GJA1 |
| Gene Accession No. | P08050, P17302, P23242 |
| Gene Alias | alpha 1 connexin; AU042049; AVSD3; AW546267; CMDR; Cnx43; connexin 43; connexin43; connexin-43; cx43; Cx-43; cx43 protein; cx43a1; Cx43alpha1; CXA1; Cxn-43; DFNB38; EKVP; etID309742.9; gap junction 43 kDa heart protein; Gap junction alpha-1 protein; gap junction membrane channel protein; gap junction membrane channel protein alpha 1; gap junction protein; gap junction protein alpha 1; gap junction protein connexin 43; gap junction protein, alpha 1; gap junction protein, alpha 1, 43 kD (connexin 43); gap junction protein, alpha 1, 43kDa; gap junction protein, alpha 1, 43kDa (connexin 43); gja1; Gja-1; GJAL; HLHS1; HSS; Npm1; ODD; ODDD; ODOD; PPKCA; SDTY3; shf; Short fin protein; sof; stopsel; stp; Syndactyly type III; vascular smooth muscle connexin43; Vascular smooth muscle connexin-43; zfCx43.3 |
| Gene Symbols | GJA1 |
| Show More |
By clicking Submit, you acknowledge that you may be contacted by Fisher Scientific in regards to the feedback you have provided in this form. We will not share your information for any other purposes. All contact information provided shall also be maintained in accordance with our Privacy Policy.