Promotional price valid on web orders only. Your contract pricing may differ. Interested in signing up for a dedicated account number?
Learn More
Learn More
Invitrogen™ Phospho-CREB (Ser133) Recombinant Rabbit Monoclonal Antibody (JB25-40)

Rabbit Recombinant Monoclonal Antibody
Supplier: Invitrogen™ MA542482
This item is not returnable.
View return policy
Description
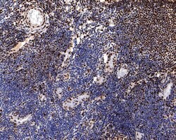
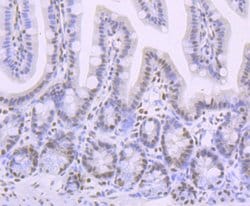
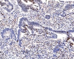
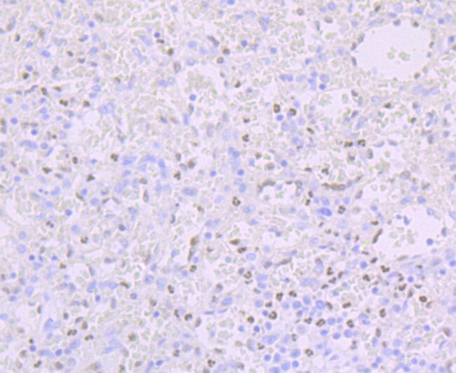
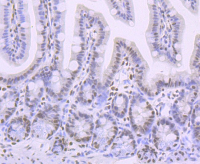
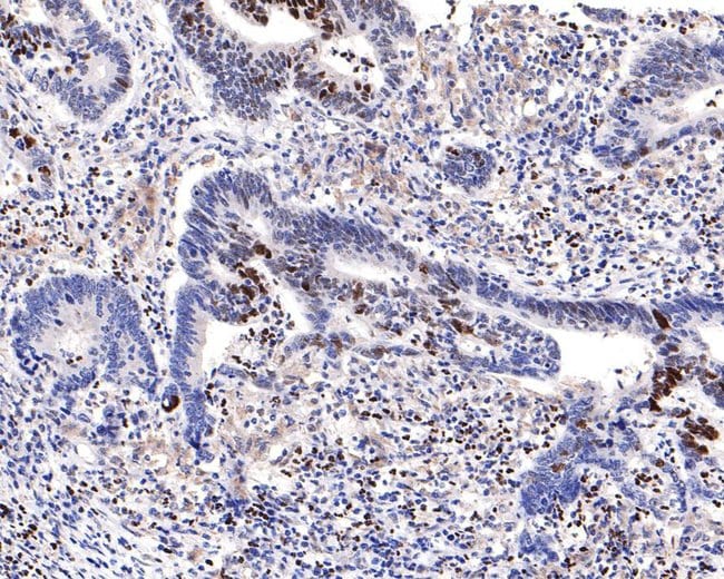
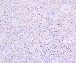
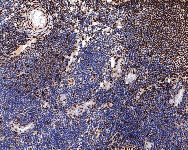
Positive Control: SH-SY5Y, HUVEC, human spleen tissue, mouse colon tissue, human colon carcinoma tissue, human lymph nodes tissue, mouse large intestine tissue. Subcellular Location: Nucleus.
CREB (Cyclic AMP response element binding protein) is a 43 kDa basic/leucine zipper transcription factor that binds the cyclic AMP response element (CRE) and activates transcription in response to a variety of extracellular signals including neurotransmitters, hormones, membrane depolarization, and growth and neurotrophic factors. Activation of CREB is dependent upon the phosphorylation of serine 133. Phosphorylation of CREB occurs via p44/42 MAP kinase and p90RSK, and via p38 MAP kinase and MSK1. Although CREB will bind DNA independent of its phosphorylation state, only the phosphorylated form is competent as a transcription factor. CREB binding protein (CBP), a transcriptional coactivator that directly interacts with CREB, binds to CREB in the region of serine 133. CREB is involved in different cellular processes including the synchronization of circadian rhythmicity, differentiation of adipose cells, and learning and memory. In humans, the gene is located on the q arm of chromosome 2. Diseases associated with CREB dysfunction include Alzheimer's Disease, histiocytoma and soft tissue melanoma.
Specifications
Phospho-CREB (Ser133) | |
Recombinant Monoclonal | |
1 mg/mL | |
TBS with 0.05% BSA, 40% glycerol and 0.05% sodium azide; pH 7.4 | |
P16220, Q01147 | |
CREB1, CrebB | |
Synthetic phospho-peptide corresponding to residues surrounding Ser133 of human Creb. | |
100 μL | |
Primary | |
Human, Mouse | |
Antibody | |
IgG |
Flow Cytometry, Immunohistochemistry (Paraffin), Immunoprecipitation, Western Blot, Immunocytochemistry | |
JB25-40 | |
Unconjugated | |
CREB1 | |
2310001E10Rik; 3526402H21Rik; active transcription factor CREB; AV083133; cAMP response element binding protein 1; cAMP responsive element binding protein 1; cAMP-response element-binding protein-1; cAMP-responsive element-binding protein 1; CREB; CREB1; Creb-1; cyclic adenosine 3',5'-monophosphate response element-binding protein CREB; cyclic AMP-responsive element-binding protein 1; htCREB; MGC9284; OTTHUMP00000206661; OTTHUMP00000206662; OTTHUMP00000206667; transactivator protein; Y protein | |
Rabbit | |
Protein A | |
RUO | |
12912, 1385 | |
Store at 4°C short term. For long term storage, store at -20°C, avoiding freeze/thaw cycles. | |
Liquid |
Product Content Correction
Your input is important to us. Please complete this form to provide feedback related to the content on this product.
Product Title
Spot an opportunity for improvement?Share a Content Correction